Rev. chil. endocrinol. diabetes 2011; (1)    Volver a Índice

 

Casos Clínicos

Metástasis cerebral de carcinoma diferenciado del tiroides

Sergio Merino O.1, Miguel Domínguez E.2, Erika Díaz V.2, Félix Vásquez R.1, Carolina Guzmán N.1, Beatriz Jiménez R.2 y Gilberto Pérez P.2

 

Brain metastases of a differentiated thyroid cancer. Report of one case

1Residente Becario de Endocrinología. Universidad de Chile.
2Unidad de Endocrinología Hospital San Juan de Dios. Facultad de Medicina. Universidad de Chile, Campus Occidente.


No hay conflicto de intereses.
No requirió financiamiento.


Correspondencia:
Sergio Merino O.
Unidad de Endocrinología Hospital San Juan de Dios
Avenida Diego Portales Nº 3239, Santiago, Chile.
Teléfono: 5742338 - Fax: 6815537
E-mail: sergioamerino@me.com


Recibido: 29 de Octubre de 2010
Aceptado: 03 de Diciembre de 2010

Brain metastases are observed in approximately 1% of patients with differentiated thyroid cancer. We report a 56 years old woman subjected to a thyroidectomy due to a follicular thyroid cancer with lymph node involvement. The patient also received 79 mCi of radioiodine and levothyroxine was started. One year later a local relapse and lung dissemination was found. The patient was subjected to a surgical neck exploration and radioiodine in a dose of 250 mCi was given again. One year after this episode, a new local relapse was diagnosed and lung metastases increased in size and number. The patient presented a left hemiparesis and a brain CAT scan and magnetic resonance imaging showed multiple metastatic lesions. The patient was considered intractable and died eight months later.
Key words: Differentiated, thyroid cancer, brain metastases.

Caso clínico

Mujer de 56 años, obesa e hipertensa. Fue derivada a nuestro centro por aumento de volumen cervical anterior de consistencia firme con ecografía de tiroides que informaba un nódulo tiroideo izquierdo de 15 mm y otro derecho de 75 mm. La TSH era 5,1 uU/mL y T4l 0,8 ng/dL. La punción aspirativa con aguja fina concluyó se trataba de una neoplasia folicular. Se efectuó tiroidectomía total, con disección de los niveles cervicales VI y VII y exploración de cadena linfática yugular derecha en septiembre 2006. En el intraoperatorio se describe un tumor en el lóbulo derecho, de 8 cm, infiltrante y dos adenopatías derechas informadas en biopsia rápida como metástasis de carcinoma folicular de tiroides. La biopsia diferida informó "Carcinoma folicular del lóbulo derecho, de tipo embrionario con extensas áreas sólidas, de 6,5 cm, que infiltra la cápsula y paratiroides y presenta permeación vascular. En el lóbulo izquierdo existían metástasis multifocales de carcinoma sólido y folicular además de elementos de tiroiditis de Hashimoto. Extensa metástasis ganglionar de neoplasia tiroidea microfolicular en ganglio paramedial derecho". Se indicó I131 (150 mCi), pero sólo recibió 79 mCi por dificultades en el abastecimiento del isótopo. La captación de I131 previa a la dosis tepéutica fue 1%. La exploración sistémica mostró "tejido cervical funcionante, probable remanente tiroideo".

Sus controles fueron muy irregulares; recibía 100 ug/d de l-tiroxina sin control de niveles hormonales. Reaparece en Noviembre 2007, destacando aumento de volumen cervical derecho, firme, de 4 cm de diámetro. Se aumenta la dosis de levotiroxina a 150 ug/d y se confirma ecográficamente una adenopatía cervical derecha de 2,3 cm de diámetro, de aspecto sospechoso,confirmando el carácter de metástasis de cáncer folicular en la biopsia por punción. Se realizó, en Febrero 2008, disección cervical modificada derecha, exploración y biopsia de linfonodos yugulares izquierdos y del lecho tiroideo. La biopsia diferida mostró metástasis de carcinoma folicular en el territorio yugular medio derecho en 2 de 60 linfonodos derechos, sin compromiso de los linfonodos izquierdos. TAC de tórax mostró múltiples imágenes pulmonares bilaterales. En Julio 2008 se administró 250 mCi de I131 con TSH: 126 uU/mL; Tg: 279 ng/mL; Ac Tg: 188 IU/ml, captación cervical de I131 0,4%. El rastreo sistémico mostró captación del radiofármaco en la región cervical anterior baja y en el hemitórax anterior derecho.

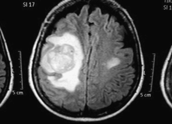
Se controló en octubre 2008 con TSH: 0,3 uU/mL; Tg: 50,5 ng/mL; Ac Tg: 159 IU/ml. Una ecografía cervical en Diciembre 2008 mostró 2 nódulos hipoecogénicos derechos, vascularizados, de 14 mm, con aspecto de adenopatías. La biopsia con aguja fina de una adenopatía reveló metástasis de carcinoma folicular tiroideo con tiroglobulina en la adenopatía > 300 ng/mL. Un nuevo TAC de tórax evidenció aumento en número y tamaño de las lesiones pulmonares. En abril 2009, previa marcación con azul de metileno, se realiza resección selectiva de adenopatía derecha cuya biopsia resultó "metástasis de carcinoma folicular tiroideo" planificándose nueva dosis de I131 que no se alcanza a dar por cuadro de 3 días de evolución de hemiparesia faciobraquiocrural izquierda. TAC de cerebro reveló masa compatible con metástasis cerebral parietal derecha, con edema perilesional y una segunda lesión sospechosa de ser otra metástasis. Además de la levotiroxina, se indicó dexametasona, fenitoina. La RNde cerebro informó: "Proceso expansivo frontal derecho de predominio subcortical, bien delimitado, heterogéneo, con intenso realce tras la administración de contraste, lo que determina efecto de masa sobre el parénquima adyacente. Mide 47 mm. Existe un segundo proceso expansivo en región precentral izquierda de 8 mm. Pequeños focos de incremento de señal en la sustancia blanca subcortical bifrontal. Conclusión: Múltiples lesiones con aspecto de implantes secundarios frontales bilaterales y occipital izquierdo" (Figura 1).
En opinión del equipo de neurocirugía se estima que la paciente se encuentra fuera del alcance quirúrgico y se propone tratamiento paliativo, informando de la situación a la paciente y familiares. Falleció 3 meses después por una infección pulmonar.

Figura 1. RN que muestra metástasis cerebrales.


Discusión

La presencia de metástasis cerebrales (MC) es frecuente en oncología, llegando a ser un 20 a 40% del total de pacientes con cáncer1. Las MC se observan cada vez más debido al aumento de sobrevida de los pacientes. Sin embargo, en el caso de los cánceres diferenciados de tiroides las MC alcanzan sólo a 0,5 a 1% de los casos, habiendo muy poca experiencia respecto a su manejo2.

Generalmente la MC, se presenta en el contexto de una enfermedad maligna avanzada, confiriendo un muy mal pronóstico al cuadro original ya que representarían el estadío final de ella3,4.

Esta poca frecuencia de las MC en los carcinomas tiroideos hace que el enfrentamiento terapéutico resulta ser conflictivo y discutible; la experiencia acumulada proviene de comunicaciones de casos clínicos y estudios retrospectivos2. Chiu analizó 47 casos recopilados en 5 décadas encontrando que el 68% de los casos el tumor originario fue un carcinoma diferenciado de tiroides, siguiendo en frecuencia el anaplástico (23%) y el medular (9%)5. Otra revisión señala que las localizaciones de MC fueron de cerebro en 69%, cerebelo en 13% y médula espinal en 18%2. Los factores pronósticos en cuanto a desarrollar MC, fueron descritos Carcangiu como: tamaño mayor a 4 cm, multicentricidad, invasión extratiroidea e histología agresiva6.

El diagnóstico de MC se sustenta principalmente en las imágenes, aunque la signología neurológica, si está presente, otorga un alto índice de sospecha; lo más frecuente es la aparición de trastornos neurocognitivos (60%), cefalea (40 a 50%), y déficit focales7. También el diagnóstico puede emanar de visualizar captación en el encéfalo en el rastreo post yodo131; sin embargo, no siempre las células metastásicas mantienen la capacidad de captar el isótopo. El procedimiento diagnóstico de mayor rendimiento es la RN y le sigue la tomografía axial computarizada.

El tratamiento de las MC es esencialmente sintomático, con uso de corticoides, medidas contra el edema cerebral y anticonvulsivantes7. El tratamiento específico de las metástasis se centra en la resección quirúrgica, lo que ha demostrado aumentar la sobrevida promedio de 3,7 a 16,7 meses. Se ha utilizado también I131, radioterapia cerebral completa, radiocirugía y quimioterapia, sin superar los resultados de la cirugía convencional8. La guía de manejo del carcinoma de tiroides publicado por la ATA en 2009 recomienda la cirugía como primera elección y subsidiariamente la radiocirugía o radioterapia externa si la lesión no es resecable. Necesariamente el I131 se reserva para las lesiones que captan el isótopo9.

En el caso de nuestra paciente creemos que ella debió haber recibido una dosis inicial de I131 mayor a la administrada, dada la histología y el compromiso metastásico en ganglios linfáticos del tumor. La evolución del caso enfatiza la importancia de una correcta dosificación y administración del I131, y la necesidad de controles rigurosos en una paciente con riesgo de recurrencia buscando la prevención o pesquisa temprana de complicaciones potencialmente mortales.

Referencias

  1. Bindal RK, Sawaya R, Leavens ME, Lee JJ. 1993. Surgical treatment of multiple brain metastases. J Neurosurg 79: 210-216.
  2. Aguiar P, Agner C, Tavares F, Yamaguchi N. 2001. Unusual brain metastases from papillary thyroid carcinoma: case report. Neurosurgery 49: 1008-1013.
  3. Venkatesh S, Leavens ME, Samaan NA. 1990. Brain metastases in patients with well differentiated thyroid carcinoma: study of 11 cases. Fur J Surg Oncol 16: 448-450.
  4. Biswal BM, Bal CS, Sandhu MS, Padhy AK, Rath GK. 1994. Management of intracranial metastases of differentiated carcinoma of thyroid. J Neuro-Oncol 22: 77-81.
  5. Chiu AC, Delpassand ES, Sherman SI. 1997. Prognosis and Treatment of Brain Metastases in Thyroid Carcinoma, The
    Journal of Clinical Endocrinology & Metabolism 82 (11):
    3637-3642.
  6. Carcangiu MI, Zampi G, Pupi A, Castagnoli A, Rosai J. 1985. Papillary carcinoma of the thyroid: A clinicopathologic study of 241 cases treated at the University of Florence, Italy. Cancer 55: 805-828.
  7. Rabadán A. 2006. Consenso para el Tratamiento de las Metástasis Cerebrales. Rev Argent Canc 34: 2-86.
  8. Salvati M, Frati A, Rocchi G, Masciangelo R, Antonaci A, Gagliardi FM, Delfini R. 2001. Single brain metastasis from thyroid cancer: Report of twelve cases and review of the literature. Journal of Neuro-Oncology 51: 33-40.
  9. Cooper, et al. 2009. Revised American Thyroid Association Management Guidelines for Patients with Thyroid Nodules and Differentiated Thyroid Cancer. Thyroid 19 (11).