Rev. chil. endocrinol. diabetes 2022; 15 (1)    Volver a Índice

 

Artículo Original

Carcinoma papilar tiroideo con invasión locorregional. Reporte de caso

Gabriela Mintegui R1*, Javier Rodríguez F2, Andrea Cristian V3, Ulises Parada M4, Carolina Guarneri O5, Beatriz Mendoza T6.

 

Papillary thyroid carcinoma with locoregional invasion. Case report

  1. Médico Endocrinólogo, Profesora Adjunta, Clínica de Endocrinología y Metabolismo del Hospital de Clínicas, Montevideo, Uruguay.
  2. Médico Imagenólogo. Hospital de Clínicas. Facultad de Medicina. UdelaR. Montevideo-Uruguay.
  3. Médico Anatomopatólogo, Profesora Adjunta Clínica de Anatomía Patológica. Hospital de Clínicas. Facultad de Medicina. UdelaR. Montevideo, Uruguay.
  4. Médico Cirujano. Asistente Clínica Quirúrgica A. Hospital de Clínicas. Facultad de Medicina. UdelaR. Montevideo, Uruguay.
  5. Médico Cirujano. Asistente Clínica Quirúrgica A. Hospital de Clínicas. Facultad de Medicina. UdelaR. Montevideo, Uruguay.
  6. Médico Endocrinólogo, Profesora. Directora, Clínica de Endocrinología y Metabolismo del Hospital de Clínicas, Montevideo, Uruguay.

 

*Correspondencia: Gabriela Mintegui.
Dirección: Emilio Frugoni 1199, apto 601. CP. 11200 Montevideo, Uruguay.
Correo: gabymin92@gmail.com

 

No se recibió ayuda financiera.

 

Recibido: 01-07-2021
Aceptado: 04-10-2021

Resumen: El cáncer diferenciado de tiroides incluye el tipo papilar y folicular que representan más del 80% de los casos y tienen un excelente pronóstico. Existen varios subtipos histológicos y las variantes foliculares son probablemente las más comunes. La incidencia de cáncer papilar variante folicular ha ido en aumento. En un reporte de un solo centro, cerca del 40% de los cánceres papilares eran variantes foliculares1. El subtipo infiltrativo de la variante folicular presenta sectores que invaden el parénquima tiroideo no neoplásico y carece de una cápsula tumoral bien definida. Tiene un comportamiento biológico y un perfil molecular que es más similar al tumor papilar clásico2. Existen características clínicas y patológicas asociadas con riesgo más alto de recurrencia tumoral y mortalidad; entre ellos se describen el tamaño del tumor primario y la presencia de invasión de tejidos blandos3. En la invasión de estructuras adyacentes, los sitios más comprometidos incluyen los músculos pretiroideos, el nervio laríngeo recurrente, el esófago, la faringe, laringe y la tráquea. Además, puede haber otras estructuras involucradas como: la vena yugular interna, la arteria carótida y los nervios vago, frénico y espinal4. El compromiso de los ganglios linfáticos y la incidencia de metástasis ganglionares en adultos depende de la extensión de la cirugía. Entre los que se realizan una disección radical modificada del cuello, hasta el 80% tienen metástasis en los ganglios linfáticos y el 50% de ellas son microscópicas5. Clínicamente los tumores localmente avanzados cursan con disfonía, disfagia, disnea, tos o hemoptisis, pero la ausencia de síntomas no descarta la invasión local. Según las guías de la American Thyroid Association6 son variables de mal pronóstico: la edad del paciente, el tamaño del tumor primario, la extensión extra tiroidea y la resección quirúrgica incompleta.

Palabras clave: Carcinoma papilar tiroideo; Folicular; Invasión; Metástasis.

 

Abstract: Differentiated thyroid cancer includes papillary and follicular types that represent more than 80% of cases and have an excellent prognosis. There are several histologic subtypes, and follicular variants are probably the most common. The incidence of papillary follicular variant cancer has been increasing. In a singlecenter report, about 40% of papillary cancers were follicular variants1. The infiltrative subtype of the follicular variant presents sectors that invade the non-neoplastic thyroid parenchyma and lacks a well-defined tumor capsule. It has a biological behavior and a molecular profile that is more similar to the classic papillary tumor2. There are clinical and pathological characteristics associated with a higher risk of tumor recurrence and mortality; These include the size of the primary tumor and the presence of soft tissue invasion3. In the invasion of adjacent structures, the most compromised sites include the pre-thyroid muscles, the recurrent laryngeal nerve, the esophagus, the pharynx, larynx and trachea. In addition, there may be other structures involved such as: the internal jugular vein, the carotid artery and the vagus, phrenic and spinal nerves4. The involvement of the lymph nodes and the incidence of lymph node metastases in adults depends on the extent of the surgery. Among those who undergo a modified radical neck dissection, up to 80% have lymph node metastases and 50% of them are microscopic5. Clinically locally advanced tumors present with dysphonia, dysphagia, dyspnea, cough, or hemoptysis, but the absence of symptoms does not rule out local invasion. According to the American Thyroid Association guidelines6, there are variables with a poor prognosis: the age of the patient, the size of the primary tumor, the extra-thyroid extension, and incomplete surgical resection.
Keywords:
Follicular; Invasion; Metastasis; Papillary thyroid carcinoma.

Introducción

Los cánceres de tiroides derivados del epitelio folicular incluyen cáncer papilar, folicular y anaplásico. Los tumores “papilar y folicular” se consideran cánceres diferenciados y generalmente se tratan de manera similar, a pesar de las numerosas diferencias biológicas y las distintas variantes3.

La frecuencia de la extensión extra tiroidea para carcinomas bien diferenciados fluctúa entre un 6% y 13%7. En un estudio de Itoo, se clasificó la invasión extra tiroidea en dos tipos: invasión mínima (infiltración del músculo esternohioideo, tejidos blandos peri tiroideos o ambos) e invasión masiva (nervios laríngeos recurrentes, tráquea, esófago, vasos yugulares y tejidos blandos subcutáneos)8.

Los tumores tiroideos pueden ser multicéntricos y éstos tiene un origen policlonal9, ocurre en el 20-88% de los casos y asocian en su gran mayoría mutación BRAF, son raros en el tipo folicular y no se traduce en un peor pronóstico para la sobrevida10.

En cuanto a los elementos de pronóstico, el tamaño tumoral tiene relación con el desarrollo de metástasis a distancia: tumores menores de 2 cm, un 17%; de 2 a 4 cm, un 32%; de 4 a 6 cm, un 29% y mayores de 6 cm, un 73%11.

El objetivo es mostrar el caso de un tumor de variante histológica frecuente y curso habitual indolente que tuvo un comportamiento clínico agresivo para la variante que resultó.

Presentación de caso

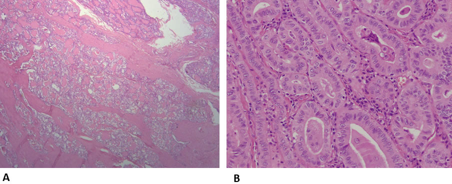
Mujer, 28 años sin antecedentes personales a destacar, que consultó por bocio multinodular de larga data con crecimiento progresivo en 9 años previos y siempre en eufunción clínica y paraclínica. Negó disnea, disfonía o disfagia. Al examen se vieron y se palparon múltiples nódulos tiroideos a derecha e izquierda y adenomegalias bilaterales (Figura 1). La ecografía de cuello mostró una glándula tiroides aumentada de tamaño (volumen 65 cc), contornos irregulares y deformados por la presencia de nódulos que sustituyen íntegramente el parénquima tiroideo, con abundante vascularización circundante y central. Múltiples adenopatías en cadena yugulocarotídea, muy parecidos ecoestructuralmente, a la tiroides y con importante vascularización periférica. Se destacaron por su tamaño, a derecha: en sectores II, III y IV de 35x25 mm, 27x14 mm y 22x15 mm de diámetro respectivamente. A izquierda: en sectores IV de 26x24 mm. Presentó eufunción tiroidea y valoración general normal. Se realizó punción citológica con aguja fina de nódulos tiroideos derecho e izquierdo y tumoraciones cervicales bilaterales y en todos los sitios de punción y el citograma fue de similares características. Se observó extendido constituido por sustancia coloide y placas de células tiroideas de mediana talla, en ocasiones con disposición pseudopapilar, con moderado grado de anisocariosis, nucléolo prominente, cromatina laxa, hendiduras y pseudoinclusiones nucleares. En las adenopatías no se observó remanente linfoide. En suma: carcinoma papilar de tiroides multicéntrico con adenopatías metastásicas. Ambas cuerdas vocales móviles en el preoperatorio. Se realizó en primera instancia tiroidectomía total, vaciamiento central y lateral derecho sin lograr extirpar todo el tumor por adherencia del mismo a la tráquea y nervio recurrente derecho. A las 24 horas se re intervino, se resecó el nervio laríngeo recurrente derecho y dos anillos traqueales y quedó con traqueotomía. Presentó un hipoparatiroidismo transitorio y a la semana se fue de alta sin complicaciones. La anatomía patológica mostró un carcinoma papilar variante folicular infiltrante con 10% de células altas, ocupó todo el lóbulo derecho, istmo y casi todo el lóbulo izquierdo y de 55 x 93 mm (Figura 2). La proliferación epitelial es atípica de patrón folicular, con menos de 1% de patrón papilar; evade la cápsula infiltrando el plano muscular. En suma: carcinoma papilar variante folicular infiltrante con 10% de células altas. Diez ganglios metastásicos de12, con evasión capsular de hasta 60 mm. La patología de la segunda cirugía: carcinoma papilar que infiltra tejido adiposo y muscular peri tiroideo, observándose filetes nerviosos (extensión extra tiroidea). En suma: carcinoma papilar convencional con contacta ampliamente con la tinta. La paciente no regresa a consulta y no se logra ubicar más.

Figura 1: Fotografía de cara anterior, anterolateral y lateral de cuello. Se observa el bocio multinodular y la presencia de varias tumoraciones a nivel de la glándula tiroides, así como otras imágenes nodulares que corresponden a metástasis del carcinoma
Figura 2: Microfotografía de glándula tiroides (HE). A. Microfotografía en aumento topográfico donde se aprecia la presencia de un patrón folicular con características citológicas de Carcinoma Papilar y un comportamiento infiltrativo. B. Área que muestra componente de células altas, que representaba un 10% de la neoplasia.

Discusión

En los últimos años se ha detectado un aumento de la incidencia de cáncer de tiroides de todos los tamaños12. La proporción de cáncer papilar entre mujeres y hombres es aproximadamente 2.5: 1 y la mayor parte de la preponderancia en mujeres ocurre durante los 40 y 50 años. A pesar del aumento de la incidencia de cáncer de tiroides, las tasas de mortalidad (0,5 por 100.000 hombres y mujeres por año) no han cambiado significativamente entre 2003 y 201213,14.

Según la clasificación de tumores endocrinos de la Organización Mundial de la Salud de 2017, las variantes foliculares del cáncer de tiroides papilar se sub clasifican como: infiltrativas o encapsuladas con invasión14. La variante infiltrante carece de una cápsula tumoral bien definida2 y su comportamiento biológico es como el de carcinoma papilar y es probable que se presente con metástasis ganglionares3.

El carcinoma tiroideo en algunas ocasiones puede invadir la vía aerodigestiva superior por extensión directa desde el tumor primitivo, o con menor frecuencia desde un ganglio metastásico paratraqueal. Los mecanismos propuestos de invasión cervico-visceral no están completamente aclarados, e incluyen la invasión desde el propio tumor hacia las estructuras vecinas y la tráquea es el órgano que por vecindad que primero se afecta.

Los carcinomas papilares afectan la tráquea con mayor frecuencia que los foliculares y a diferencia de los carcinomas anaplásicos, es infrecuente que presenten metástasis pulmonares, por lo que se han asociado eventualmente con un mejor pronóstico15.

La afección traqueal en ocasiones se presenta como un hallazgo intraoperatorio en pacientes asintomáticos. Frecuentemente, la lesión se identifica durante la cirugía y allí el cirujano debe definir la extensión del segmento traqueal a resecar como sucedió en este caso16.

La tráquea, es invadida en forma directa en diferentes grados y va desde la afección limitada al pericondrio hasta la invasión que alcanza la mucosa y estrecha la luz17.

Shin y cols sugirieron una clasificación para el carcinoma papilar que invade la tráquea en 5 etapas, que depende de la profundidad de invasión. En la etapa 0 el tumor permanece confinado a la glándula tiroides, en el estadio I el carcinoma se extiende a través de la capsula de la glándula, contactando el pericondrio, sin erosionar el cartílago ni invadir entre los anillos traqueales. En el estadio II, el carcinoma destruye el cartílago o invade entre los anillos cartilaginosos. En estadio III se extiende a través del cartílago o entre los anillos cartilaginosos en la lámina propia de la mucosa traqueal pero no invade o eleva la mucosa. En el estadio IV el tumor penetra el grosor total de la pared traqueal y se presenta en la tráquea como una ulceración o nódulos18. Describieron que los pacientes con etapa IV murieron con gran frecuencia de progresión de la enfermedad. Según ésta clasificación nuestra paciente tuvo un estadío III.

En el caso de la laringe, se invade por extensión directa a través del cartílago tiroides, por la membrana cricotiroidea o alrededor del cartílago tiroides. Los pacientes con invasión aislada de los músculos pretiroideos o el nervio laríngeo recurrente con la resección completa presentan buen control local y aceptable morbilidad19.

La tomografía o resonancia nuclear magnética están indicadas cuando existen lesiones primarias grandes, lesiones que se introducen al estrecho superior del tórax, ante sospecha de invasión local por parálisis de cuerdas vocales, disfonía, disfagia, hemoptisis o disnea. También se indican cuando existen metástasis ganglionares cervicales, especialmente si son voluminosas, para descartar compromiso ganglionar mediastinal. La tomografía tiene la ventaja de su accesibilidad y menor costo. Si los hallazgos sugieren invasión traqueal se indica la traqueobroncoscopía20. En este caso tenía indicación formal de solicitarla, pero la paciente se negó a realizar.

Aunque el pronóstico del carcinoma diferenciado de tiroides es bueno, la invasión de la tráquea es un factor desfavorable. Así, la principal causa de muerte por carcinoma de tiroides es la obstrucción traqueal. El diagnóstico temprano y el tratamiento quirúrgico con resección completa del tiroides y de las estructuras traqueales afectadas se asocian con un mejor pronóstico. También se ha señalado que los pacientes con invasión que alcanza mucosa tienen mal pronóstico20.

Conclusiones

En casos localmente avanzados, una tomografía preoperatoria de cuello y tórax es importante para evaluar las cadenas ganglionares y optimizar la planificación quirúrgica. Cuando el carcinoma tiroideo se presenta con invasión extra tiroidea aumenta cinco veces el riesgo de muerte. Se ha descrito que, si existe invasión de la tráquea, el esófago, los nervios laríngeos recurrentes o la médula espinal, puede causar morbilidad importante. Además, si esta invasión macroscópica de tejidos blandos es identificada en el examen clínico, en el intraoperatorio o en las imágenes conlleva un mayor riesgo de mortalidad3.

Referencias

  1. Jung C, Little M, Lubin J, Brenner A, Wells S, Sigurdson A, et al. The increase in thyroid cancer incidence during the last four decades is accompanied by a high frequency of BRAF mutations and a sharp increase in RAS mutations. J Clin Endocrinol Metab. 2014; 99(2): 276-285.
  2. Faquin W, Wong L, Afrogheh A, Ali S, Bishop J, Bongiovanni M, et al. Impact of reclassifying noninvasive follicular variant of papillary thyroid carcinoma on the risk of malignancy in The Bethesda System for Reporting Thyroid Cytopathology. Cancer Cytopathol. 2016; 124(3): 181-187.
  3. Rivera M, Ricarte-Filho J, Knauf J, Shaha A, Tuttle M, Fagin J, et al. Molecular genotyping of papillary thyroid carcinoma follicular variant according to its histological subtypes (encapsulated vs infiltrative) reveals distinct BRAF and RAS mutation patterns. Mod Pathol. 2010; 23(9): 1191- 1200.
  4. Tuttle M, Ross D, Mulder J. Papillary thyroid cancer: Clinical features and prognosis. UpToDate (Acceso 27 de junio 2021).
  5. Nishida T, Nakao K, Hashimoto T. Local control in differentiated thyroid carcinoma with extrathyroidal invasion. Am J Surg. 2000; 179(2): 86-91.
  6. Randolph G, Duh Q, Heller K, LiVolsi V, Mandel S, Steward D, et al. The prognostic significance of nodal metastases from papillary thyroid carcinoma can be stratified based on the size and number of metastatic lymph nodes, as well as the presence of extranodal extension. Thyroid. 2012; 22(11): 1144-1152.
  7. Haugen B, Alexander E, Bible K, Doherty G, Mandel S, Nikiforov Y et al. American Thyroid Association Management Guidelines for Adult Patients with Thyroid Nodules and Differentiated Thyroid Cancer. Thyroid. 2016; 26(1): 1-133.
  8. Brauckhoff M, Dralle H. Cervicovisceral resection in invasive thyroid tumors. Chirurg. 2009; 80(2): 88-98.
  9. Ito Y, Tomoda C, Uruno T, Takamura Y, Miya A, Kobayashi K et al. Minimal extrathyroid extension does not affect the relapse-free survival of patients with papillary thyroid carcinoma measuring 4 cm or less over the age of 45 years. Surg Today. 2006; 36(1): 12-18.
  10. Shattuck T, Westra W, Larderson P, Arnold A. Independent clonal origins of distinct tumor foci in multifocal papillary thyroid carcinoma. New Eng J Med. 2005; 352(23): 2406-2412.
  11. Hay I, Grant C, Taylor W, McConahey W. Ipsilateral lobectomy versus bilateral lobar resection in papillary thyroid carcinoma: a retrospective analysis of surgical outcome using a novel prognostic scoring system. Surgery. 1987; 102(6): 1088-1095.
  12. Emerick G, Duh Q, Saperstein A, Burrow G, Clark O. Diagnosis, treatment, and outcome of follicular thyroid carcinoma. Cancer. 1993; 72(11):3287- 3295.
  13. Lim H, Devesa S, Sosa J, Chequ D, Kitahara C. Trends in Thyroid Cancer Incidence and Mortality in the United States, 1974-2013. JAMA. 2017; 317(13): 1338-1348.
  14. https://seer.cancer.gov/statfacts/html/thyro.html (Acceso 27 de junio, 2021).
  15. Lyod R, Osamura R, Klöppel G, Rosai J. En: WHO Classification of Tumours, 4th Edition, Volume 10. ISBN 978-92-832-4493-6. International Agency for Research on Cancer, Lyon 2017, p.65-88.
  16. Torres Relucio J, Cases Viedma E, Padilla Alarcón J, Sanchis Aldás J. Arch Bronconeumol Carcinoma de tiroides con invasión traqueal: serie de cinco casos. (Thyroid carcinoma with tracheal invasion: a series of five cases). 2002; 38(11): 542-544.
  17. Honings J, Stephen AE, Marres HA, Gaissert HA. The management of thyroid carcinoma invading the larynx or trachea. Laryngoscope. 2010; 120(4): 682-689.
  18. Shin DH, Mark EJ, Suen HC, Grillo HC. Pathologic staging of papillary carcinoma of the thyroid with airway invasion based on the anatomic manner of extension to the trachea: a clinicopathologic study based on 22 patients who underwent thyroidectomy and airway resection. Hum Pathol. 1993; 24(8): 866-870.
  19. Czaja JM, McCaffrey TV. The surgical management of laringotraqueal invasion by well differentiated papillary thyroid cancer. Arch Otolaryngol Head Neck Surg. 1997; 123(5): 484-490.
  20. 20. Urhan M, Velioglu M, Rosenbaum J, Basu S, Alavi A. Cáncer de tiroides localmente avanzado. Imaging for the diagnosis of thyroid cancer. Expert Opin Med Diagn. 2009; 3(3): 237-249.