Rev. chil. endocrinol. diabetes 2017; 10 (2)    Volver a Índice

 

Artículo Original

Tiroiditis de Riedel, una entidad fácilmente confundible con carcinoma anaplásico tiroideo

Ana Alberca P.1, Aurora Gil R.2, Fernando Martínez P.2, Paloma Núñez G.3, Juan Sánchez F.4,
Rafael Picón R.5, Isabel María De Lara S.6, Pedro Montero P.7 y Jesús Martín F.8

 

Riedel's thyroiditis, an entity easily confused with anaplastic thyroid carcinoma

1MIR 4º año Cirugía General y Ap. Digestivo.

Hospital General de Ciudad Real.
2Adjunto del Servicio Cirugía General y Ap. Digestivo. Hospital General de Ciudad Real.
3Residente 3er año; Cirugía General y Ap. Digestivo.
Hospital General de Ciudad Real.
4Residente 2º año; Cirugía General y Ap. Digestivo.
Hospital General de Ciudad Real.
5Residente 1er año; Cirugía General y Ap. Digestivo.
Hospital General de Ciudad Real.
6Residente 3er año; Anatomía Patológica.
Hospital General de Ciudad Real.
7Residentes 1er año; Anatomía Patológica.
Hospital General de Ciudad Real.
8Jefe de Servicio Cirugía General y Ap. Digestivo.
Hospital General de Ciudad Real. Profesor de la Universidad de Ciudad Real.

 

Correspondencia:
Ana Alberca Páramo
C/Santa Cruz de Mudela Nº 1 Bloque 7, 3º B 13005
Ciudad Real. Teléfono: 926-278000 (extensión 79183)
alpaa2500@gmail.com

Recibido: 02-10-2016
Aceptado: 22-12-2016
Introduction: Riedel´s thyroiditis is a thyroid inflammation with invasive fibrosis. Case report: Female 84 years old, studied by dysphagia to liquids and dysphonia, with cervical mass poorly demarcated and immobile. Computed Tomography (CT) (CT) showed tumor that diverted the trachea and esophagus compressed. Fine Needle Aspiration (FNA) obtained cells with atypia. Thyroidectomy was performed, appreciating a stony tumor which included the right recurrent laryngeal nerve. Given the high suspicion of thyroid malignancy tracheostomy it was performed. The pathology report as fibrosing Riedel thyroiditis. Discussion: This is the less common type of chronic thyroiditis. Etiology is unknown. The normal thyroid parenchyma is replaced by fibrous connective tissue. Clinically usually a hard mass, fast growing, why is confused with thyroid carcinoma and Hashimoto’s thyroiditis. It´ss more common in women and is usually bilateral. The CT or MRI (Magnetic Resonance Imaging) help assess the extent. Puncturing the mass could give us the diagnosis but is often difficult. Treatment to relieve symptoms or rule out malignancy is surgery. The prognosis is usually good. Conclusions: Riedel´s thyroiditis is an entity with histopathologic diagnosis essential.

 

Key words: Thyroiditis, Riedel, Anaplastic carcinoma.

La tiroiditis de Riedel es una inflamación tiroidea caracterizada por una fibrosis invasiva que destruye la glándula tiroidea extendiéndose hacia estructuras adyacentes del cuello1.

El diagnóstico se realiza con ecografía que muestra masa hipodensa e hipoecoica que reemplaza el tejido tiroideo normal. La tomografía computarizada (TC) y resonancia magnética (RM) muestran hallazgos de fibrosis y en la gammagrafía con yodo 131 aparece como una glándula irregular con baja o nula captación2.

 

 

Caso clínico

 

Paciente mujer, de 84 años de edad, estudiada por el Servicio de Otorrinolaringología por disfagia para líquidos y disfonía de meses de evolución. Ingresó en dicho servicio por disnea. A la exploración física se evidenciaba una tumoración cervical mal delimitada, inmóvil con maniobras deglutorias y sin apreciarse adenopatías cervicales.

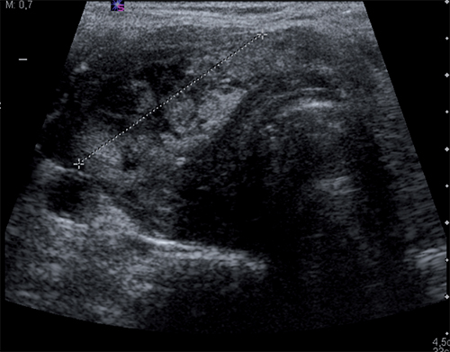
En la tomografía computarizada se apreciaba una tumoración heterogénea sobre el lóbulo tiroideo derecho que producía una desestructuración del mismo, provocando desviación de la tráquea hacia la izquierda, y comprimiendo el esófago. Se realizó punción aspiración con aguja fina (PAAF) guiada ecográficamente (Figura 1) del nódulo, obteniendo células con atipia de significado indeterminado, aunque insuficientes para indicar que la lesión fuese maligna.

La paciente presentaba función tiroidea, inmunoglobulinas G, A y M, alfa y beta globulinas en rangos de normalidad.

Ante dichos hallazgos y la clínica de la paciente se decidió la realización de una intervención quirúrgica programada.

Durante la intervención quirúrgica se apreció una tumoración pétrea de tiroides, que ocupaba el lóbulo tiroideo derecho y que se encontraba adherida al paquete yugulo carotideo, esófago y tráquea. Dicha lesión englobaba al nervio recurrente derecho. Se realizó una tiroidectomía total con preservación del nervio laríngeo recurrente izquierdo y glándula paratiroidea superior derecha. Ante estos hallazgos encontrados y la sospecha de una probable neoplasia tiroidea indiferenciada se realizó una traqueostomía durante el mismo acto quirúrgico.

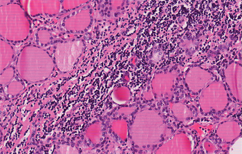
Las secciones microscópicas estudiadas en el lóbulo derecho exclusivamente muestran un parénquima tiroideo infiltrado por un tejido fibrocolágeno acompañado de un infiltrado inflamatorio constituido principalmente por linfocitos y algunas células plasmáticas, sin evidencia de formación de folículos linfoides. El parénquima tiroideo conservado presenta focos de atrofia folicular tiroidea. Además, dicha fibrosis e inflamación se extiende a tejido adiposo y muscular estriado adyacente. El lóbulo izquierdo no presenta alteraciones histopatológicas significativas (Figura 2); siendo todo ello compatible con el diagnóstico de tiroiditis fibrosante de Riedel con afectación unilateral (lóbulo tiroideo derecho).

La paciente fue dada de alta posteriormente con una clínica de hipocalcemia transitoria.

 

 

Figura 1. TC cervical con masa infiltrante subglótica de que se extiende a tejidos extralaríngeos afectando a músculos infratiroideos derechos proximales, lóbulo tiroideo derecho y espacio prevertebral con pérdida de plano graso de separación con esófago proximal. No se visualizan adenopatías cervicales.

 

Figura 2. A: Se observan folículos tiroideos del parenquima normal con un área adyacente de inflamación crónica linfoplamocitaria infiltrante. 20x H-E.


Figura 2. B: Se observan un área de fibrosis colágena e inflamación crónica linfoplasmocitaria sin foliculos linfoides, infiltrando el parenquima tiroideo y atrofiandolo
focalmente. 0.9x H-E.

 

 

Discusión

Bernard Riedel describió por primera vez la tiroiditis que lleva su nombre en 1883 como un proceso fibroinflamatorio asociado a infiltración tiroidea3-5. En un principio esta patología fue confundida con un carcinoma indiferenciado que tras la cirugía se recuperó6.

Inicialmente se pensaba que se trataba de una etapa terminal de la tiroiditis de Hashimoto o de la tiroiditis granulomatosa crónica6.

La tiroiditis de Riedel se cataloga dentro de un grupo de trastornos idiopáticos conocidos como fibroesclerosis inflamatoria7; siendo el tipo de tiroiditis crónica menos frecuente6.

Se desconoce su etiología8, aunque se cree que es la manifestación local de una enfermedad sistémica9. No existe evidencia de que su origen se deba a un proceso autoinmune, aunque presente células mononucleares, vasculitis dentro del tejido fibroso y anticuerpos antitiroideos elevados10. Estudios recientes han demostrado que es probable que la inmunoglobulina G4 participe en la etiología de dicha enfermedad11,12.

Este tipo de tiroiditis infrecuente está caracterizado por la inflamación severa y el reemplazo del parénquima tiroideo normal por un infiltrado de tejido conectivo fibroso que destruye parcialmente la glándula tiroidea1 y se disemina más allá de la cápsula tiroidea a estructuras adyacentes del cuello8. Puede incluso afectar a las glándulas paratiroideas13. Esta enfermedad presenta una incidencia del 0,06% de todas las cirugías tiroideas8,14.

No afecta nunca a piel ni ganglios linfáticos15. Clínicamente se presenta como una masa de rápido crecimiento, consistencia dura, que comprime estructuras cercanas: nervios, tráquea, esófago y produce dolor, disnea y disfagia16.

La mayoría de los pacientes (64%) con tiroiditis de Riedel son eutiroideos7,8, el 32% de los casos presentan hipotiroidismo y sólo el 4% presentaban hipertiroidismo17.

Es más frecuente en el género femenino (siendo 4 veces más frecuente que en el sexo masculino)18, entre los 23 y 77 años de edad. En la mayoría de los casos la enfermedad es bilateral7,18.

El diagnóstico clínico es difícil porque se asemeja a una neoplasia o una variante fibrosa de la tiroiditis de Hashimoto4, no presentando una clínica característica. Suelen manifestarse como una patología tiroidea maligna con bocio de crecimiento rápido, indoloro y duro (consistencia pétrea). Se manifestará como dolor, presión en la región anterior tiroidea, disfagia y disfonía6,19. Puede producir hipoparatiroidismo al afectar a las glándulas paratiroideas13. Se han descrito neumonía obstructiva y síndrome de vena cava en los casos en los que se extiende más allá del tiroides20.

El diagnóstico diferencial de esta patología es extremadamente difícil, porque tanto su forma de presentación como las imágenes que muestran sugieren malignidad y, por tanto, deberán diferenciarse del cáncer tiroideo como el folicular, el papilar, el de células de Hurthle y el anaplásico3,18, así como de la tiroiditis de Hashimoto que también muestra fibrosis difusa1.

La mayoría de estos pacientes suelen presentar valores de TSH normales, aunque entre 25-32% presentarán hipotiroidismo subclínico secundario a la fibrosis del parénquima que provocará una destrucción del mismo20. Hasta el 66% de los pacientes pueden presentar autoanticuerpos elevados, aunque en menor número que si se tratase de una tiroiditis de Hashimoto20.

Se suelen solicitar niveles de calcio y fósforo para la evaluación de un posible hipoparatiroidismo21.

La TC nos facilita información acerca de la extensión de la fibrosis, la compresión de la tráquea y/o esófago, mostrando además un tiroides hipodenso que invade tejidos cercanos22.

La RM muestra imágenes tiroideas normales o hiperintensidad homogénea o heterogénea. La intensidad de la señal puede modificarse con respecto al grado de inflamación de la tiroiditis12, así pues, una tiroiditis con tejido fibroso maduro se verá hipointensa en T1 y T2 pues se asocia a la hipocelularidad y al estroma rico en colágeno. Y la fibrosis inmadura con pocas fibras de colágeno, numerosos fibroblastos y células endoteliales, puede presentar hiperintensidad heterogénea en T2 que varía según el grado de vascularización5.

En el PET se verá un aumento del metabolismo glucídico en la glándula tiroidea, resultado de la inflamación producida por los linfocitos, células plasmáticas y la proliferación de los fibroblastos23. Se considera el PET útil para la evaluación de la actividad de la enfermedad y de la respuesta de los pacientes al tratamiento con corticoides1.

En EE. UU. se considera que la herramienta fundamental para el diagnóstico de esta entidad es la citología previa tiroidea, aunque por regla general no se obtienen datos concluyentes, como ocurre en nuestro caso1.

Microscópicamente en un estado inicial se encuentra intensa infiltración de linfocitos, células plasmáticas, neutrófilos y eosinófilos; conforme evoluciona dicha patología se aprecia infiltración del tiroides con tejido fibroso denso hialinizado con pocos linfocitos, células plasmáticas y eosinófilos y casi desaparecen los folículos tiroideos. La fibrosis se extiende más allá del tiroides englobando tejido adiposo, muscular, vasos y nervios, pudiendo, además, infiltrar las glándulas paratiroides, la tráquea y el esófago9.

El tratamiento de la tiroiditis dependerá de los síntomas presentados por el paciente y deberemos descartar una entidad tumoral, aunque a veces es imposible6.

No existen ensayos clínicos sobre la eficacia de la terapia médica, debido a la rareza de esta patología. Ante infiltración, fibrosis y destrucción de zonas adyacentes se puede administrar glucocorticoides que inducen el reblandecimiento de la masa y la disminución de su tamaño24.

También se ha usado el tamoxifeno para la reducción de hasta el 50% del tamaño del bocio, quizás el mecanismo se deba a la reducción de la proliferación de fibroblastos mediada por las citoquinas18.

En casos en los que los tratamientos médicos previos no tengan efecto se usará el rituximab intravenoso que mejora los síntomas de compresión y disminuye la masa tiroidea25.

El tratamiento para aliviar la compresión traqueal o esofágica, o para descartar malignidad, es la cirugía descompresiva4,6,26.

Si la enfermedad afecta únicamente a un lóbulo, es decir es unilateral, el tratamiento sería la lobectomía o incluso la resección del istmo en cuña. Ante procesos bilaterales se recomienda la tiroidectomía total, aunque la disección de la zona es peligrosa, pudiéndose dañar estructuras importantes como la tráquea, la vaina carotídea y los nervios laríngeos recurrentes6,27.

El pronóstico suele ser bueno, pues es una patología autolimitada, aunque se describen tanto la remisión espontánea como la progresión crónica26.

La mortalidad de esta enfermedad se atribuye a complicaciones secundarias como trombosis del seno venoso cerebral, la neumonía recurrente secundaria por compresión bronquial, el laringoespasmo y la compresión traqueal que puedan requerir tratamiento quirúrgico urgente28.

 

Conclusiones

La tiroiditis de Riedel es una entidad poco frecuente e indiferenciable de una patología tiroidea maligna hasta el diagnóstico anatomopatológico.

 

Referencias bibliográficas

 

  1. Pi GY, Lee YS, Hong SW, Chang HS, Park CS. 2012. A case of Riedel’s thyroiditis. J Korean Surg Soc 82 (5): 317-20.
  2. Emch TM, Miller MA. 2004. Riedel’s thyroiditis. Appl Radiol 33: 33-6.
  3. Rose E, Royster HP. 1961. Invasive fibrous thyroiditis (Riedel struma). JAMA 176: 224-6.
  4. Zakeri H, Kashi Z. 2011. Variable Clinical Presentations of Riedel’s Thyroiditis: Report of Two Cases. Hindawi Publishing Corporation. Case Reports in Medicine 709264: 3.
  5. Riedel BM. 1896. Diechrnische, zur Bildung eiseharter Tumoren fuhrende Entzundung de Schilddruse. Verh Dtsch Ges Chir 24: 101-5.
  6. Hendrick JW. 1956. Diagnosis and treatment of thyroiditis. Ann Surg 144 (2): 176-87.
  7. Bhutia CT,  Das D. 2014. Riedel’s Thyroiditis in an Elderly Male Patient: A Rare Entity.  J Clin Diagn Res 8 (10): FD24-5.
  8. González López S, Suárez Núñez E. 2005. Tiroiditis de Riedel. Presentación de un caso. Acta Médica Grupo Ángeles 3 (2): 99-101.
  9. LiVolsi VA. 1990. Fibrosis in the thyroid. Surgical pathology of the thyroid. 5: 98.
  10. Zimmermann-Belsing T, Feldt-Rasmussen U. 1994. Riedel’s thyroiditis: an autoimmune or primary fibrotic disease? J Intern Med 235: 271-4.
  11. Comings DE, Skubi KB, Van Eyes J, Motulsky AG. 1967.
    Familial multifocal fibrosclerosis. Ann Intern Med 66: 884-92.
  12. Papi G, LiVolsi VA. 2004. Current concepts on Riedel thyroiditis. Am J Clin Pathol 121 (Suppl): S50-63.
  13. Lo JC, Loh KC, Rubin AL, Cha I, Greenspan FS. 1998. Riedel’s thyroiditis presenting with hypothyroidism and hypoparathyroidism: dramatic response to glucocorticoid and thyroxine therapy. Clin Endocrinol (Oxf) 48: 815-8.
  14. Wan SK, Chan JK, Tang SK. 1995. Paucicellular variant of anaplastic thyroid carcinoma: a mimic of Riedel’s thyroiditis. American Journal of Clinical Pathology (105); 4: 388-93.
  15. De Boer, van Coevorden F, Wiersinga WM. 1992. A rare case of Riedel’s thyroiditis, 6 years after retroperitoneal fibrosis: two diseases with one pathogenesis? Neth J Med 40: 190-6.
  16. Rodríguez I, Ayala E, Caballero C, De Miguel C, Matias-Guiu X, Cubilla A, et al. 2004. Solitary fibrous tumor of the thyroid gland: report of seven cases. Am J Surg Pathol 128: 87-9.
  17. Schwaegerle SM, Bauer TW, Esselstyn CB. 1988. Riedel’s thyroiditis. Am J Clin Pathol 90: 715-22.
  18. Few J, Thompson NW, Angelos P, Simeone D, Giordano T,
    Reeve T. 1996. Riedel’s thyroiditis: treatment with tamoxifen. Surgery 120: 993-8.
  19. Dahlgren M, Khosroshahi A, Nielsen GP, Deshpande V, Stone JH. 2010. Riedel’s thyroiditis and multifocal fibrosclerosis are part of the IgG4-related systemic disease spectrum. Arthritis Care Res (Hoboken) 62: 1312-8.
  20. Schwaegerle SM, Bauer TW, Esselstyn CB. 1988. Riedel’s thyroiditis. Am J Clin Pathol 90: 715-22.
  21. Chopra D, Wool MS, Crosson A, Sawin CT. 1978. Riedel’s struma associated with subacute thyroiditis, hypothyroidism, and hypoparathyroidism. J Clin Endocrinol Metab 46: 869-71.
  22. Ozbayrak M, Kantarci F, Olgun DC, Akman C, Mihmanli I, Kadioglu P. 2009. Riedel thyroiditis associated with massive neck fibrosis. J Ultrasound Med 28: 267-71.
  23. Drieskens O, Blockmans D, Van den Bruel A, Mortelmans L. 2002. Riedel’s thyroiditis and retroperitoneal fibrosis in multifocal fibrosclerosis: positron emission tomographic findings. Clin Nucl Med 27: 413-5.
  24. Vaidya B, Harris PE, Barrett P, Kendall-Taylor P. 1997. Corticosteroid therapy in Riedel’s thyroiditis. Postgrad Med J 73: 817-9.
  25. Levy JM, Hasney CP, Friedlander PL, Kandil E, Occhipinti EA, Kahn MJ. 2010. Combined mycophenolate mofetil and prednisone therapy in tamoxifen- and prednisone-resistant Reidel’s thyroiditis. Thyroid 20: 105-7.
  26. Viel Martínez JM, Agut Fuster MA, Grau Alario E, del Campo Biosca JF, Agulles Fornés MJ, Ferrer Rodríguez A, et al. 2003. Tiroiditis de Riedel: a propósito de un caso de evolución letal. Acta Otorrinolaringol Esp 54: 465-9.
  27. Lahey FH. 1934. Thyroiditis. Surg Gynec & Obst 60: 969.
  28. Hennessey JV. 2011. Clinical review: Riedel’s thyroiditis: a clinical review. J Clin Endocrinol Metab 96: 3031-41.