1Centro médico Endocrinológico
Clínica Santa María.
2Universidad de los Andes.
aInternas 7º año de Medicina.
Los autores que autorizan la
publicación de este manuscrito
declaran no tener confl ictos de
interés involucrados en este trabajo.
Trabajo sin apoyo fi nanciero.
Correspondencia:
Dra. Andrea Sepúlveda Nida
Clínica Santa María
Av. Santa María 0410
Teléfono: 02-9131008
Fax: 4613522
E-mail: easn5@yahoo.es
Recibido: 28 de noviembre de 2011
Aceptado: 27 de diciembre de 2011
We report a 53 years old male with hypertension, chronic renal failure and obstructive sleep apnea syndrome. In 1995 he was subjected to a trans-sphenoidal surgical procedure for a pituitary tumor. He was admitted in the emergency room in 2008 for a congestive cardiac failure. A dilated cardiomyopathy and stage IV chronic renal failure were found. The echocardiogram showed a severely dilated left ventricle, moderate systolic dysfunction, with global diffuse hypokinesia and grade III diastolic dysfunction. The left atrium was severely dilated, with severe mitral insufficiency, mild tricuspid insufficiency and moderate pulmonary hypertension. A reactivation of his acromegaly was diagnosed, based on high growth hormone (GH) and insulin-like growth factor (IGF)-1 levels (12.7 ng/ mL and 674 ng/mL, respectively). A CAT scan of the sellar region showed post-surgical changes and a soft tissue material with a diameter of less than 6 mm. Due to the concomitant medical problems, octreotide was chosen as treatment, observing a reduction in GH and IGF-1 levels. After six months of treatment, a new echocardiogram showed an important improvement of his cardiac function.
Key words: Acromegaly, octreotide, dilated cardiomyopathy.
Introducción
Las tasas de mortalidad en pacientes con Acromegalia son un 72% mayor respecto a la población general1. La causa más frecuente de muerte es la cardiovascular2. Dentro de las complicaciones cardiovasculares de los pacientes con Acromegalia se encuentran: Hipertensión Arterial (HTA), Enfermedad Coronaria, Arritmias Ventriculares e Insuficiencia Cardíaca Congestiva3. La Miocardiopatía Dilatada, aunque rara, es posible en Acromegalia de larga evolución4.
Se revisará la historia clínica de un paciente con Acromegalia y Miocardiopatía Dilatada, cuya función cardíaca se incrementó de forma importante, luego del tratamiento con Octeótrido.
Caso clínico
El paciente es de sexo masculino, de 53 años con antecedentes mórbidos de HTA, Apnea Obstructiva del sueño en tratamiento con CPAP y Tabaquismo detenido hace 25 años. Sus antecedentes quirúrgicos son de Resección Transesfenoidal de Tumor Hipofisiario de 12 mm en 1995, tres hernioplastías y prótesis de cadera izquierda. El paciente se encontraba sin control de su Cirugía Hipofisiaria desde 1995.
Ingresa de urgencia en el año 2008 por Insuficiencia Cardiaca Congestiva, constatándose una Enfermedad Renal Crónica etapa IV y una Miocardiopatía Dilatada. Se realizó un Ecocardiograma el cual reveló severa dilatación del ventrículo izquierdo (76/59 mm), Disfunción Sistólica Moderada, con hipokinesia difusa global, más acentuada en pared posteroinferior y Disfunción Diastólica grado III. El atrio izquierdo se encontraba severamente dilatado (57 mm), con Insuficiencia Mitral severa, Insuficiencia Tricuspídea leve e Hipertensión Pulmonar moderada (55 mmHg). El Electrocardiograma mostraba crecimiento de ventrículo izquierdo y discretas alteraciones inespecíficas de la repolarización ventricular. La Tomografía Computada (TC) de Tórax mostraba derrame pleural bilateral, con aumento signifi cativo del tamaño radiológico del corazón, concluyendo que los hallazgos eran compatibles con proceso congestivo pulmonar cardiogénico.
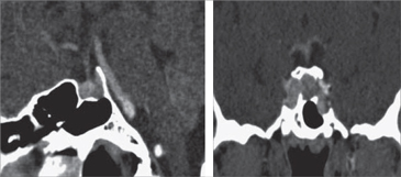
También se constató activación de su Acromegalia con niveles de GH de 12,7 ng/ mL, con Glicemias de 89,3 mg/dL basal, 190,8 mg/dL a los 30 minutos, 214,5 mg/dL a los 60, 199,3 mg/dL a los 90 y 123,2 mg/dL a los 120 minutos; con un IGF-1 de 674 ng/mL (Valor normal para edad: 87-238 ng/ mL). No se pudo realizar una Resonancia Nuclear Magnética por el Gadolinio; por lo cual luego de ingresar a hemodiálisis se realizó un TC de silla turca (Figura 1). En ésta, se apreció sólo cambios post quirúrgicos en el piso selar y un material con densidad de partes blandas ocupando la logia selar, de diámetro cráneo-caudal de no más de 6 mm.
Respecto al cuadro clínico el paciente refiere disnea de esfuerzo al caminar, fatigabilidad y edema de miembros inferiores. Negó la presencia síntomas de Acromegalia desde la resección transesfenoidal.
En el examen físico se apreciaba una presión arterial de 90/65 mmHg, pulso de 76 por minuto, frecuencia respiratoria de 12 por minuto y un IMC de 26,0 kg/m2. A la auscultación se apreciaba ritmo regular, soplo sistólico del apex, grado I/VI, irradiado levemente a la región axilar; a la palpación el apex se encontraba descendido y lateral a la línea media clavicular.
Los exámenes de laboratorio mostraron una Creatininemia de 7,42 mg/dL, en el Perfil Bioquímico destacabaColesterol total de 255 mg/dL, Ácido Úrico de 7,8 mg/dL, Nitrógeno Ureico de 84,2 mg/dL, Glucosa de 104,6 mg/dL y Fósforo de 5,57 mg/dL. El Perfil lipídico destacaba Triglicéridos de 214 mg/dL. El Hematocrito era de 31,3% y los Electrolitos Plasmáticos se encontraban en rangos normales.
El tratamiento farmacológico de este paciente consistía en Carvedilol 6,25 mg, Losartán 50 mg, Omeprazol 20 mg, Acetato de Calcio 667 mg, TOL 12® y Acido Fólico.
Se determinó comenzar terapia médica con Octeótrido, hasta esperar mejores condiciones generales del paciente para realizar la cirugía Hipofisiaria. Luego de 4 meses de tratamiento, con 3 ampollas de Octeótrido, los niveles de GH disminuyeron a 3,64 ng/mL y el IGF-1 a 368 ng/mL. Luego de 6 meses de tratamiento, 6 ampollas de Octeótrido se obtuvo GH de 4,65 ng/mL e IGF-1 de 276 ng/mL (Figura 2).
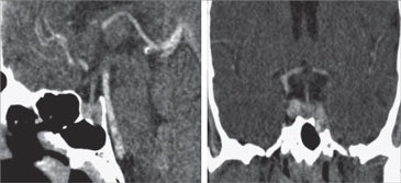
En la Prueba de Supresión con Glucosa se obtuvo a los 30 minutos 3,26 ng/ml, a los 60 minutos 2,1 ng/ml, a los 90 minutos 1,63 ng/ml y a los 120 minutos 1,32 ng/ml. También se realizó una TC de región Selar y un Ecocardiograma de control. En la TC no se observaron variaciones signifi cativas en relación al tamaño de la lesión (Figura 3). En el Ecocardiograma se apreció importante mejoría (Tabla 1), acercándose a parámetros normales; con un ventrículo izquierdo de 61/42 mm, Atrio izquierdo 33 mm, Función Eyectiva de 56%, Índice de Masa 175 g/m2 e Insuficiencia Mitral leve.
Respecto a la clínica, el paciente refirió que tenía la impresión de disminución del tamaño de sus manos, disminución de sudoración y la disnea de esfuerzo previa se mantenía, pero en menor grado y con esfuerzos mayores.
En el examen físico se constató una presión arterial de 100/70 mmHg, pulso de 70 por minuto, frecuencia respiratoria de 12 por minuto y un IMC de 25,5 kg/m2. El examen cardiopulmonar se encontró dentro de los límites normales (Tabla 2)
Figura 1. TAC de silla turca pre tratamiento.
Figura 3. TAC de silla turca post tratamiento.Tabla 1. Ecocardiograma pre y post tratamiento

Tabla 2. Hallazgos al examen físico y laboratorio, pre y post tratamiento

Discusión
Esta enfermedad tiene varios efectos en la morfología y función cardíaca que son independientes de la coexistencia de HTA, sugiriendo la existencia de una Miocardiopatía Acromegálica específica5. Es frecuente la prevalencia de hipertrofia cardíaca en los pacientes con Acromegalia, siendo más frecuente en los pacientes mayores (74%) con una enfermedad de larga data. Sin embargo, también está en pacientes jóvenes (57%) lo que podría indicar que es un evento temprano, que empeora proporcionalmente con la duración de la actividad de la enfermedad6. En la histología es frecuente la presencia de fibras colágenas intersticiales y áreas de fibrosis; con métodos de Histoquímica se puede apreciar incremento de la apoptosis en los miocitos y en el intersticio7.
Las guías de consensos más recientes para el manejo de acromegalia sugieren la cirugía como la terapia de primera línea, con o sin combinación con tratamiento médico, radioterapia convencional y/o radiocirugía8. Sin embargo, hay estudios de la alta eficacia del tratamiento con Octreótido, tanto como de tratamiento primario como asociado a la cirugía, llegando hasta un 82,1% de valores normales de GH, IGF-1 y de disminución de tamaño del Adenoma9,10. Esto coincide con los hallazgos en el paciente de este caso, excepto por la disminución del tamaño del Adenoma. Al diagnosticar la reactivación de su enfermedad no había visualización del Adenoma en TC, por lo que tampoco sería visible la disminución de su tamaño en una TC de control.
Colao et al, realizó un estudio prospectivo a 5 años en el cual se comprobó que la supresión de GH e IGF-1 con cirugía o cirugía más Octreótido fue seguido por una significativa mejoría de la actividad cardíaca e incluso recuperación total en la mitad de los casos estudiados11. Hay estudios en los cuales se aprecia la mejoría de la función cardíaca12,13, de la histopatología14 y de arritmias ventriculares15 luego de tratamiento con Octreótido como tratamiento primario o asociado a Cirugía Transesfenoidal. Tal como en el presente caso, Legrand et al, reportaron el caso de un paciente con severa Miocardiopatía Dilatada, que fue tratada con éxito luego de tratamiento con Octreótido, seguido por resección transesfenoidal del tumor16. Esto demuestra la posible reversibilidad de daño miocárdico, al disminuir la actividad de la enfermedad.
No sólo existe evidencia de incremento de la función cardíaca, sino que se ha visto mejoría de los riesgos cardiovasculares con control bioquímico parcial de Acromegalia; tales como Presión Arterial, Tolerancia a la Glucosa, Resistencia a la Insulina, Perfil Lipídico y en Índices de Coagulación e Inflamación, como Fibrinógeno, PAI-1 y t-PA17.
Por otro lado, el paciente presenta una Enfermedad Renal Crónica etapa IV, probablemente debido a una HTA no tratada adecuadamente. A diferencia de la Miocardiopatía con el Octeótrido, la enfermedad renal persistió sin retroceso. El eje GH/IGF-1 estaría involucrado en el equilibrio hidroelectrolítico renal, la filtración glomerular y los procesos tubulares de reabsorción. Auriemma et al, apreciaron en un estudio de caso-control diferencias tanto funcionales (mayor Clearence de Creatinina, menor excreción de sodio y potasio, mayor microalbuminuria, entre otros) como de tamaño renal, en pacientes acromegálicos respecto a pacientes sanos18. También se ha descrito que los pacientes con Enfermedad Renal Crónica pueden presentar niveles elevados de GH que incluso no son suprimidos con carga de glucosa19,20, asociado a niveles normales de IGF-1, lo cual se podría deber a una resistencia periférica a GH debido a disminución de número de receptores.
En el presente caso, se reportó una asociación no tan frecuente, como es Acromegalia con Miocardiopatía dilatada. Sin embargo, el resultado positivo que se obtuvo luego del tratamiento con Octreótido es consistente con lo encontrado en los estudios de la literatura. Es importante destacar que aunque el tumor inicial del paciente era de menor a 20 mm, debe insistirse en mantener un control permanente, debido a las complicaciones ya explicadas que conlleva el exceso de GH.
Todo esto motiva al diagnóstico precoz de esta enfermedad, ya que no sólo se trata de dar una mejor calidad de vida; sino que tratar de disminuir su alta mortalidad por causa cardiovascular.
Referencias bibliográficas