1Unidad de Endocrinología Hospital San Juan de Dios. Santiago, Chile.
2Departamento Medicina Occidente Universidad de Chile. Santiago, Chile.
3Unidad de Cirugía de Cabeza y Cuello Hospital San Juan de Dios. Santiago, Chile.
4Servicio de Anatomía Patológica Hospital San Juan de Dios. Santiago, Chile.
5Servicio Radiología Hospital San Juan de Dios. Santiago, Chile.
6Servicio de Medicina Nuclear Hospital San Juan de Dios. Santiago, Chile.
Autores no declaran ningún conflicto de interés basado en ICMJE Form for Disclosure of Potential Conflicts of Interest.
Correspondencia:
Erika Díaz Vargas
Huérfanos 3255, Hospital San Juan de Dios. Santiago, Chile.
Teléfono: 225742338
kikadoc@gmail.com
Recibido: 12/04/2017
Aceptado: 08/06/2017
Introducción: The lingual thyroid carcinoma is very uncommon neoplasia with an incidence of less than 1%. The papillary variant is the most frequent. Cervical MRI helps differentiate muscle from thyroid tissue. The definitive diagnosis is given by histology. Management is similar to that of orthotopic thyroid cancer. We present the case of a 23-year-old woman with hypothyroidism undergoing treatment with dysphagia and sensation of pharyngeal foreign body and malodorous oral bleeding. Nasopharyngoscopy showed a rounded mass at the base of the tongue; the biopsy was compatible with thyroid neoplasia. Image study with ultrasound confirms empty thyroid bed with presence of lingual ectopic thyroid. The team of surgeons performed surgery with Trotter Technique, they removed a tumor of 4 centimeters of diameter. The definitive biopsy concludes minimally invasive follicular carcinoma. The treatment was completed with 100 mCi of radioiodine. Systemic screening at 7 days was negative, as the post-operative thyroglobulin (Tg).
Key words: Ectopic thyroid, thyroid cancer, lingual thyroid.
Se considera una glándula tiroides (GT) ectópica cuando ésta no se localiza en la región anterior del cuello, entre el segundo y cuarto cartílago traqueal5. La ubicación más frecuente de tejido tiroideo ectópico (TTE) es en la base de la lengua, lo que se denomina tiroides lingual (TL), el cual en la mayoría de los casos es asintomático y puede desarrollar cualquier enfermedad que afecte a la GT, incluyendo neoplasias5.
El carcinoma de TL (CTL) es muy infrecuente con una incidencia menor al 1%. Se presenta principalmente en mujeres en una razón de 2:1 luego de los 30 años, siendo el tipo papilar la histología predominante5. Dado la rareza de esta condición, ha sido muy difícil caracterizar la historia natural de la enfermedad. En su variante papilar se ha reportado metástasis locorregionales, mientras que la variante folicular tiende a diseminarse a distancia principalmente a pulmón y mediastino en el 20 y 14% respectivamente5.
El diagnóstico del CTL generalmente se realiza en forma tardía ya que sus síntomas son inespecíficos incluyendo disnea, disfonía y sensación de cuerpo extraño al deglutir. Menos frecuente son la disfagia y la hemoptisis. Frente a la sospecha, se sugiere realizar estudio imagenológico con técnicas no invasivas tales como tomografía computada (TC) o RM4. La ecografía cervical se utiliza para evaluar compromiso locorregional. El diagnóstico definitivo se realiza con biopsia de la lesión. Si la histología resulta sugerente de CTL el manejo es el mismo que para el cáncer en GT ortotópica2.
Caso clínico
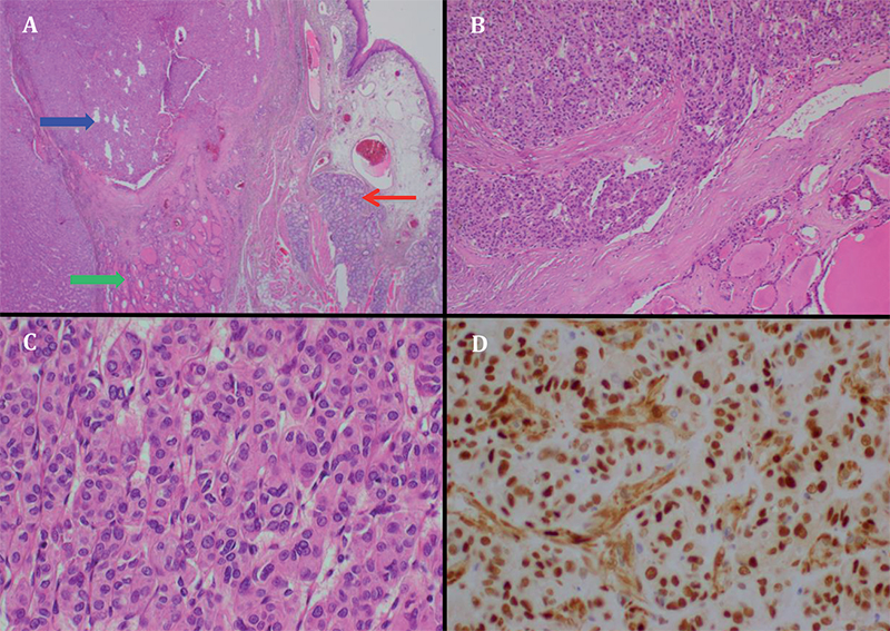
Mujer de 23 años, fumadora de 2 paquetes/año, con antecedentes de hipotiroidismo desde los 20 años en tratamiento con levotiroxina, subtratada. Consulta por cuadro de 5 meses de evolución caracterizado por odinofagia leve y sensación de cuerpo extraño orofaríngeo, asociado a episodios de sangrado bucal de mal olor. Se realiza nasofibroscopía encontrando en línea media una masa redondeada en la base de la lengua cuya biopsia describe neoplasia tiroidea con patrón sólido y ulcerada que infiltra la cápsula tumoral sin traspasarla (Figura 1A y 1B) constituida por células epiteloideas de gran tamaño formando nidos, cordones, trabéculas y áreas sólidas con núcleos irregulares atípicos (Figura 1C). La Inmunohistoquímica demostró: Factor 1 de Transcripción Tiroidea (TTF-1) (+), Ciclina D1 (+), Citoqueratina 7 de membrana en células tumorales (+), HBME -1 (+), Focal de algunas células tumorales, Citoqueratina 20 (-), CEA(-) y Sinaptofisina (-) (Figura 1D) RM cervical muestra ocupación de la vallécula por tejido de partes blandas, de estructura discretamente heterogénea de baja señal en T1 e hiperintenso en T2 que se impregna tras la administración de gadolinio, de 20 x 20 x 22 mm en los ejes mayores y que desplaza la epiglotis hacia caudal. No se visualiza glándula tiroides en el opérculo toráxico ni región cervical anterior (Figura 2A y B). En cintigrama tiroideo se observa concentración del radiofármaco sólo en un área ovalada de localización sublingual en la línea media (Figura 2 C) concluyendo presencia de TTE. Ecografía cervical confirma lecho tiroideo vacío (Figura 2D) y un nódulo sólido hipoecogénico de 19 x 20 x 20 mm en base de la lengua (Figura 2E) sin evidencia de extensión locorregional. Se presenta en Comité de Tiroides, indicándose cirugía. En el procedimiento se ve y palpa tumor en base de lengua de aproximadamente 40 mm de diámetro mayor, friable, bastante superficial, bien delimitado. Se secciona la lengua en línea media, se identifica tumor resecándolo completamente. La biopsia definitiva concluye carcinoma folicular mínimamente invasor con dos permeaciones vasculares. Se indica radioablación con 100 mCi de I-131, el rastreo sistémico a los 7 días fue negativo. Los valores de TSH y Tg se presentan en Tabla 1. Actualmente la paciente está en seguimiento bajo terapia de sustitución con levotiroxina, eutiroidea desde el punto de vista clínico y de laboratorio.


Tabla 1. Seguimiento de TSH y Tg
| Fecha | Previo a Cirugía | 30 días post cirugía | 5 meses post cirugía |
| TSH (0,34-5,6)*ulU/ml | 19 | 220 | 0,73 |
| Tg (< 0,68)*ng/ml | 25 | 0,14 | <0,1 |
| Ac anti Tg (< 138)*Ud | 19 | 18 | 27 |
*VN para laboratorio clínico Hospital San Juan de Dios.
Discusión
Se presenta este caso dado la infrecuencia del CTL.
La GT se origina en el embrión como una invaginación mesodérmica en el piso faríngeo dando origen al foramen cecum a partir del cual desciende hasta ubicarse en forma definitiva por delante de la tráquea6. Ocasionalmente, el primordio tiroideo no puede descender correctamente lo que provoca alteraciones de la organogénesis tiroidea resultado en una GT localizada en posición inusual, hipoplásica o ausente5. La disorganogénesis tiroidea se considera una patología esporádica. Sin embargo, 5% de los casos podría tener algún factor genético asociado7. En la literatura se describe presencia TTE en base de lengua, región submandibular, laringe, mediastino, tráquea y esófago siendo el TL la forma más común de ectopia tiroidea5.
El carcinoma tiroideo originado a partir de un TL es una rareza. El primer caso descrito en la literatura fue reportado en 1910 por Gunn y Rutgers1 y en el último siglo se ha publicado sólo 52 nuevos casos de los cuales el 65% fueron carcinomas papilares5. Sin embargo, la relación carcinoma papilar versus folicular es mayor que en el cáncer ortotópico (2:1 versus 4:1). No hay factores de riesgo específicos para CTL y la historia natural de la enfermedad sigue siendo desconocida dado lo inusual de esta condición.
En el diagnóstico diferencial de esta patología debemos incluir quistes del conducto tirogloso, linfoma, linfangioma, hemangioma, hipertrofia de la tonsila lingual entre otros. El diagnóstico definitivo lo da la histología y el tratamiento es quirúrgico. En cuanto a la conducta quirúrgica, en este caso, dado la ubicación del tumor, mediante Técnica de Trotter se logró la resección completa del tumor3, procedimiento que se realizó sin incidentes. Posterior a la cirugía, se presentó el caso en Comité y dado la histología encontrada se indicó 100 mCi de I-131 cuyo rastreo sistémico fue negativo.
En conclusión, el TL es muy infrecuente sin embargo, puede albergar una neoplasia. El diagnóstico temprano es difícil ya que los síntomas y signos son inespecíficos. Ante la sospecha se sugiere realizar estudio con imágenes y si la histología es compatible la conducta es quirúrgica. Cabe destacar la importancia de la evaluación multidisciplinaria para asegurar un tratamiento exitoso.
Referencias bibliográficas