1. Departamento de Radiodiagnóstico
del Hospital Universitario Severo Ochoa.
Leganés, Madrid, España.
2. Departamento de Endocrinología y
Nutrición del Hospital Universitario Severo
Ochoa. Leganés, Madrid, España.
*Correspondencia:
Paula Concejo Iglesias
paulaconcejo@gmail.com
Avda. Juan Pablo II 56, letra B. CP
28224, Pozuelo de Alarcón (Madrid,
España).
Recibido: 29-12-2019
Aceptado: 30-03-2020
Resumen: Los adenomas pituitarios son los tumores hipofisarios más frecuentes
siendo una entidad rara cuando se trata de adenomas ectópicos, es decir, sin
conexión con la glándula pituitaria. Se cree que derivan de células residuales del
tracto de migración embriológico desde la bolsa de Rathke. Su presentación clínica
es muy variable porque depende de la producción hormonal y del efecto masa en
estructuras adyacentes. Generalmente suponen un reto diagnóstico debido a su
baja frecuencia, la clínica variable de presentación y que no presentan características
específicas en las pruebas de imagen. Generalmente el diagnóstico se realiza de
manera retrospectiva tras la resección quirúrgica. Presentamos el caso de un varón
de 56 años que se presentó con unos valores de prolactina de 6647.5 ng/ml (2.2-
17.7) con clínica de hipogonadismo aislada que se resolvió con tratamiento médico
sin precisar resección quirúrgica, con una disminución de la densidad radiológica y
estabilización del tamaño y sin clínica compresiva ni alteración visual.
Palabras clave:
Adenoma; Clivus; Ectópico; Hipofisario; Prolactinoma.
Abstract: Pituitary adenomas are the most common hypophyseal tumors being a
rare entity when they are ectopic, without connection to the pituitary gland. They
are thought to arise from residual cells in the migration tract from Rathke´s pouch.
Its clinical presentation is variable depending on the hormonal production and the
pressure effect on adjacent structures. They usually are a diagnostic challenge due
to their low frequency, wide range of clinical presentation and not showing specific
features on imaging techniques. The diagnosis is made usually retrospectively after
surgical resection. We report the case of a 56 years old male that presented with a
prolactine value of 6647.5 ng/ml (2.2-17.7) and isolated hypogonadism symptoms
that resolved with medical treatment without surgery, diminishing the radiological
density and stabilizing the size without having compresive symptoms nor visual
disturbances.
Key words: Adenoma; Clivus; Ectopic; Hypophysea; Prolactinoma.
Varón de 56 años, con diabetes mellitus tipo 2, hipertrigliceridemia y obesidad grado I de predominio central, en tratamiento con metformina y fenofibrato derivado al Servicio de Endocrinología por valores de 6647.5 ng/mL de prolactina (rango normal 2.2-17.7) con bajos niveles de testosterona: 0.783 ng/mL (valores normales 1.930-7.400). El resto de los ejes hormonales no mostraban alteraciones.
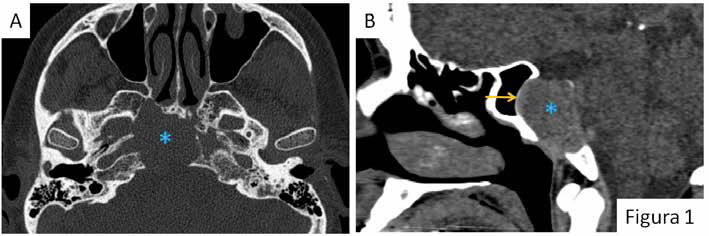
El paciente refería disminución del apetito sexual y disfunción eréctil de 10 años de evolución, con empeoramiento en los últimos 5 años, sin alteraciones visuales ni otra sintomatología asociada. Ante la sospecha de prolactinoma se inició tratamiento con cabergolina 0.5 mg hasta alcanzar la dosis de 1 mg dos veces por semana y se completó el estudio con pruebas de imagen (Figuras 1 y 2) confirmándose la presencia de un macroadenoma hipofisario ectópico. Tras cuatro meses de tratamiento, el paciente refirió clara mejoría de la clínica con normalización de los niveles de hormonas (prolactina basal: 15.5 ng/mL y testosterona total: 2.630 ng/mL).
En la RM de control realizada al año de tratamiento se evidencia discreta disminución de la intensidad de la masa y estabilización del tamaño.
El paciente fue remitido al Servicio de Neurocirugía, pero dada la mejoría clínica y la evolución favorable en los métodos de imagen no se ha realizado biopsia ni intervención quirúrgica al paciente en el momento actual.


Discusión
El adenoma es el tumor hipofisario más frecuente1-3 y supone el 10-20% de todos los tumores cerebrales1,2. Este tipo de tumores pueden extenderse fuera de la silla turca6,7 (fundamentalmente a nariz, nasofaringe o seno esfenoidal)1,2 por infiltración contigua de estructuras, circulación sanguínea o de LCR (líquido cefalorraquídeo) y por los nervios4. Más raramente se han descrito adenomas ectópicos que son aquellos que no tienen conexión con la glándula hipofisaria1-7. Se han descrito más de 100 casos de adenomas ectópicos en la literatura, la mayoría se originan en el seno esfenoidal2.
No se ha demostrado predominancia de sexo en este tipo de tumores y la media de edad es 50 años2.
Los adenomas hipofisarios ectópicos son neoplasias benignas muy raras, aunque pueden presentar comportamiento agresivo produciendo parálisis de nervios craneales1,2.
Fue descrito en 1909 por Erdheim1,4 y se cree que se originan en el recorrido de la migración de la bolsa de Rathke1-5,7 o en células pituitarias aberrantes en la pars tuberalis del tallo hipofisario1,3,4.
Son más frecuentes en el seno esfenoidal1,3 (hasta un 60% de los casos) o en la región supraselar5. Un 30% de los casos se describen en el clivus, la cavidad nasal, la región paraselar y el ala del esfenoides1,3-5 y más raramente en la porción petrosa del hueso temporal, el tercer ventrículo y el lóbulo temporal5,6.
Hasta dos tercios de los adenomas hipofisarios ectópicos son funcionales1,2 siendo la secreción de ACTH y prolactina lo más frecuente1,6,8,9.
Las manifestaciones clínicas son variables, dependiendo de la producción hormonal y del compromiso por efecto masa de estructuras adyacentes (cefalea, obstrucción nasal…)5,6,13.
La TC (tomografía computerizada) y la RM (resonancia magnética) pueden ser de utilidad en el diagnóstico preoperatorio, aunque supone un reto puesto que al ser una patología tan poco frecuente, es difícil incluir esta patología en el diagnóstico diferencial de rutina1.
Este tipo de lesiones se ven isointensas respecto a la sustancia gris cerebral en las secuencias T1 con captación heterogénea tras la administración de contraste.
El alto índice de sospecha y la correlación de los hallazgos radiológicos, hormonales e inmunohistoquímicos son útiles para llegar al diagnóstico correcto1.
Las masas en el clivus representan el 1% de los tumores intracraneales5 pudiéndose manifestar con cefalea, déficit visual o alteraciones de los pares craneales, obstrucción nasal e hipersecreción hormonal5,6,7.
El diagnóstico diferencial es amplio y habría que considerar los cordomas (40%), carcinoma nasofaríngeo, meningioma, quiste epidermoide, displasia fibrosa, plasmocitoma, hemangioblastoma, melanoma, metástasis…1,2,4,8.
El tratamiento más frecuente es la cirugía1,3,4 puesto que el diagnóstico suele ser de manera retrospectiva mediante histología2. En caso de que el diagnóstico se realice de manera preoperatoria, y puesto que la mayoría de estos tumores son funcionales, los pacientes podrían ser subsidiarios de tratamiento conservador médico2.
En ocasiones se administra radioterapia postoperatoria cuando la resección completa no ha sido posible1 o tratamiento hormonal4. El riesgo de transformación maligna es muy bajo1.
En nuestro caso, dada la clínica, los niveles elevados de prolactina y los hallazgos en las pruebas de imagen, se consideró la posibilidad de macroprolactinoma como primera posibilidad. Las guías clínicas recomiendan los agonistas dopaminérgicos como primera opción terapéutica en el manejo de los prolactinomas6,8,9. Por esta razón, tras comprobar la ausencia de alteración campimétrica, se optó por iniciar cabergolina, con una respuesta excelente tanto a nivel clínico como analítico, confirmando así nuestra sospecha diagnóstica.
Aunque no se evidencia un claro plano de separación con la hipófisis, la cual es de morfología y tamaño normales, existen diferencias en la intensidad de señal y debido al patrón de crecimiento en sentido caudal (en condiciones normales los macroadenomas tienden a crecer hacia la región supraselar que es donde existe menos resistencia), así como por su localización clival, a pesar del tamaño y de no tener la anatomía patológica se ha diagnosticado de macroprolactinoma clival ectópico.
El hipogonadismo hipogonadotropo se resolvió tras la normalización de la prolactina encontrándose el paciente en la actualidad asintomático desde el punto de vista hormonal y sin alteraciones visuales ni cefalea. Dada la buena evolución no se ha planteado tratamiento quirúrgico.
Conclusión
Los prolactinomas ectópicos en el clivus son una entidad rara, por lo que no existen guías especificas para su manejo. El diagnóstico diferencial de los tumores en el clivus es amplio, sin embargo, la clínica y alteraciones hormonales pueden ayudar a esclarecer el diagnóstico.
El tratamiento de primera línea de los prolactinomas son los agonistas dopaminérgicos, reservando la cirugía para casos de alteración campimétrica o neurológica y ausencia de respuesta a dichos fármacos.
Referencias