1Departamento de Endocrinología, Facultad de Medicina, Pontificia Universidad Católica de Chile.
2Departamento de Anatomía Patológica, Facultad de Medicina, Pontificia Universidad Católica de Chile.
Correspondencia:
Dr. Patricio Salman Mardones
Departamento de Endocrinología, Escuela de Medicina, Pontificia Universidad Católica de Chile.
Lira 85, 5° piso, Santiago, Chile.
E-mail: patosalman@hotmail.com
Recibido: 26 de julio de 2013
Aceptado: 20 de agosto de 2013
Recently, an oncocytic variant of papillary thyroid carcinoma with lymphocytic stroma, called Warthin-like tumor, has been described. Its evolution is similar to the usual papillary carcinoma. We report a 61 years old female with a multinodular goiter and a predominant nodule in the right lobe. A fine needle aspiration biopsy was compatible with a papillary thyroid carcinoma. A total thyroidectomy was performed and the pathological examination revealed a Warthin tumor of 2.2 cm. The patient was treated posteriorly with radioiodine and after six months of follow up, there is no evidence of disease.
Key words: Carcinoma papilartiroides, oncocítica, Warthin-like.
El carcinoma papilar se tiroides (CPT) es la neoplasia maligna más común de la glándula tiroides. La variante más frecuente del CPT es la usual. La variedad oncocítica cuenta aproximadamente con el 10% de los casos de CPT1. En 1995 se describió un grupo de pacientes con un carcinoma papilar tiroideo con cambios oncocíticos en su epitelio acompañado de una importante infiltración linfoide. A esta variante se le denominó carcinoma papilar tiroideo oncocítico con estroma linfocítico o “Warthin-like tumor” del tiroides, debido a su semejanza con el tumor de la glándula salival2. El objeto es presentar el caso de una paciente con esta neoplasia, que después del tratamiento hasta la fecha se encuentra sin evidencias de persistencia de enfermedad y además revisar la literatura sobre este poco común tumor tiroideo y sus implicancias pronósticas.
Caso clínico
Paciente de sexo femenino, 61 años, con antecedentes de hipertensión arterial y dislipidemia. Estando asintomática, en control médico se pesquisa TSH disminuida por lo que fue derivada a endocrinología. Al examen físico destacaba a la palpación tiroidea un nódulo derecho, duro, móvil, no doloroso. El perfil hormonal confirma un hipertiroidismo subclínico (TSH 0,07 μUI/mL y T4L 1,33 ng/dL). Se solicita ecotomografía tiroidea que demuestra un bocio multinodular destacando un nódulo dominante en el lóbulo derecho, hipoecogénico, mal delimitado, asociado a gruesas calcificaciones, de 17,9 x 27,1 mm, con flujo al doppler color (Figura 1 y 2). Se realizó un cintigrama tiroideo que evidenció un nódulo hipercaptante en el lóbulo derecho con supresión parcial del resto del parénquima glandular; probablemente responsable del hipertiroidismo subclínico. Se solicita PAF del nódulo dominante cuyo resultado fue compatible con un carcinoma papilar tiroideo. La paciente se somete a tiroidectomía total, la cual se realizó sin incidentes. El resultado de la biopsia fue un carcinoma papilar, unifocal, variedad oncocítica tipo Warthin de 2,2 x 1,7 cm; el tumor no se extendía a tejidos peritiroideos, ni alcanzaba los bordes quirúrgicos, pero sí se observaban permeaciones vasculares tumorales (Figura 3). Recibió 100 mCi de yodo radioactivo (con TSH 90,12 μUI/mL, T4L 0,21 ng/dL, Tiroglobulina 2,8 ng/mL y anticuerpos antitiroglonbulina 1 UI/mL). La exploración sistémica evidenció una moderada a intensa captación en región anterior del cuello en relación al lecho tiroideo; el resto del cuerpo se apreciaba de distribución normal y no se evidenciaban imágenes sugerentes de metástasis extracervicales. La paciente inicia tratamiento con levotiroxina. En el control de los 6 meses la paciente se encontraba en buenas condiciones generales y asintomática, la ecografía cervical no mostraba evidencia de recidiva local, la tiroglobulina estaba indetectable (< 0,5 ng/mL) y los anticuerpos antitiroglobulina se mantenían negativos (1 UI/mL).


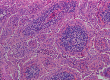
Figura 3. Se observan cortes transversales de estructuras papilares con infiltrado inflamatorio predominantemente linfocitario ocupando y ensanchando sus ejes fibrovasculares. El revestimiento epitelial es de células oncocíticas, cilíndricas, de citoplasma abundante, eosinófilo, granular. Núcleos ubicados en el tercio medio, grandes, sobrepuestos, claros, de contornos irregulares, con uno que otro pliegue. Discusión
El CPT es la forma de carcinoma tiroideo más frecuente y generalmente tiene un pronóstico más favorable que otros cánceres. Dentro de este grupo se han descrito otras variantes morfológicas. Es importante reconocerlas ya que algunas de ellas tienen un curso más agresivo y pronóstico menos favorable que la variedad usual, tales como la variante de células altas y la esclerosante difusa. Otra con curso más agresivo es el carcinoma papilar variante oncocítica. En 1995, Apel et al., describieron un subtipo de esta última (13 casos) que se caracterizaba por arquitectura papilar, células de Hürtle y un importante infiltrado de células linfocíticas en el estroma de las papilas. Ellos describieron este tumor como “Warthin-like” debido a su semejanza con el tumor salival que lleva ese nombre2,3. Otro rasgo habitualmente encontrado es su asociación con tiroiditis de Hashimoto en el resto de la glándula tiroidea.
El diagnóstico diferencial de esta nueva variante está dado por el carcinoma de células de Hürtle y el carcinoma papilar variante células altas. Respecto al primero, éste no tiene las características clásicas en el núcleo que define a un carcinoma papilar, ni tampoco tiene un infiltrado linfocitario importante. Respecto al segundo, la variante de células altas si bien tienen cambios oncocíticos, tiene la propiedad de que sus células son al menos el doble de altas que anchas, su núcleos son polarizados hacia la base y en ellos las características nucleares de carcinoma papilar son prominentes en particular los pliegues nucleares y la pseudoinclusiones, que se encuentran en abundancia, la claridad nuclear puede ser poco evidente4,5. Otros autores postulan que el CPT “Warthin-like tumor” sería un híbrido entre CPT variante oncocítica y la variante de células altas6,7. También está asociado a la mutación RET/PTC apoyando la hipótesis que este tumor deriva de un CPT8.
Desde su primera descripción, en la literatura sólo se han publicado series de pacientes y reportes aislados. Las características generales descritas son que esta variante afecta principalmente a mujeres, como nuestra paciente, donde está descrita una relación mujer: varón de 8: 1, con mayor de incidencia en la quinta década de la vida, un diámetro que generalmente es mayor a 2 cm (como nuestra paciente), habitualmente unilateral, asociado a tiroiditis de Hashimoto en el resto de la glándula y la mayoría sin metástasis ganglionares cervicales ni a distancia4,5,9.
El diagnóstico citológico, a través de una PAF, habitualmente es compatible con un CPT. No obstante, su interpretación puede ser difícil. Por ejemplo, en una serie de casos se describió que la PAF preoperatoria había sido compatible con tiroiditis linfocitaria y células atípicas. Así, el diagnóstico definitivo se establece con la pieza operatoria donde se demuestran las características histológicas ya descritas propias de este tumor5. Nuestra paciente cumplía con una PAF compatible con CPT y luego la biopsia definitiva con un CPT variedad oncocítica tipo “Warthin-like tumor”. Un hecho interesante es que una proporción importante de estos tumores son parcialmente quísticos en el examen macroscópico (y eventualmente también pudiera ser apreciado como sólido-quístico a la ecotomografía tiroidea)10.
Respecto al pronóstico de este tumor, no es posible tener una conclusión definitiva debido a la escasez de casos publicados y al seguimiento limitado que existen de ellos. Sin embargo, la literatura disponible evidencia que se trataría de un carcinoma con un pronóstico favorable, semejante al CPT variedad usual. Las explicaciones de este comportamiento biológico indolente no están claras, considerando que se trata de una variante oncocítica, pero se especula que pudiera estar relacionado su pronóstico con la importante infiltración linfocitaria. Ésta representaría una respuesta inmune del huésped sobre el tumor3,5-8,11,12. No obstante, está descrito un reporte de caso de una paciente de 74 años con esta variante histológica, pero que además presentaba cambios anaplásicos asociados, con infiltración tumoral local y metástasis a distancia, falleciendo a los meses de la cirugía9. Si bien nuestra paciente lleva sólo 6 meses desde su tratamiento, se encuentra a la fecha sin evidencia de persistencia de enfermedad y está en seguimiento continuo. En el mismo sentido, no hay recomendaciones específicas sobre el enfrentamiento de esta variante de CPT, pero se puede recomendar por la información disponible, que debiera tener un manejo similar al cáncer tiroideo diferenciado papilar variedad usual.
En resumen, presentamos el caso de una paciente sexo femenino con un CPT variedad oncocítica tipo “Warthin-like tumor” que posterior a tiroidectomía total y yodo radioactivo posterior a los 6 meses está sin evidencia clínica, imagenológica ni bioquímica de persistencia de enfermedad. Esta variante de CPT es un tumor descrito recientemente en la literatura, que tiene particularidades histológicas que le dan su nombre y que tendría un pronóstico favorable a semejanza del CPT variedad usual, pero se necesitan más casos y seguimientos a largo plazo para tener una conclusión más definitiva.
Referencias bibliográficas