Rev. chil. endocrinol. diabetes 2017; 10 (4)    Volver a Índice

 

Caso Clínico

Masa pancreática: una presentación inhabitual
de nesidioblastosis en el adulto

Fady Hananias R.1 e Iván Quevedo L.2

 

Pancreatic mass: an unusual presentation of nesidioblastosis in adults

1Interno medicina Universidad de Concepción.

2Endocrinólogo sección endocrinología, Departamento de Medicina Interna Universidad de Concepción.

 

Fuente de financiamiento: Propios.

 

Correspondencia:

Fady Elías Hananias Ramos

Interno de la carrera de Medicina de la Facultad de Medicina, Universidad de Concepción

Dirección: Avenida Valle Blanco, casa 163, Lomas de San Sebastián, Concepción

Teléfono +569 65890766

fadyhananias@gmail,com

 

Recibido:07-07-2017

Aceptado:09-09-2017

A 41-year-old woman, multiparous of 4, with personal or familiar  history of diabetes, with a history of Nissen fundoplication due to pathological gastro-oesophageal reflux, is refer to an endocrinologjst during her post-operatiye follow up, 4 months after her surgery for a 14 kg weight loss in 10 months and symtomatic hypoglycemia to repetition. A positive prolonged fasting test for hypoglycemia was performed. In addition, abdominal computed axial tomography was performed, which resulted  normal and endosonography, showing a lesion on the head of the pancreas. Octreoscan positive for pancreatic head focal lesion with positive somatostatin receptors compatible with insulinoma. Whipple surgery was performed where surgeon palpated pancreatic tumor, biopsy showed tissue compatible with diffuse nesidioblastosis. In the postoperative period, the patient decreased frequency and intensity of hypoglycemic episodes compared to their previous stage. Control prolonged fasting test and Octreoscan were within normal ranges. However, 4 months after surgery, the patient presented hypoglycemia of lower intensity and frequency than before surgery. Currently he remains in control with nutritionist and endocrinologist, mainly adjusting diet and with good control glycemias.

 

Key words: Pancreatic mass, nesidioblastosis, adult.

Introducción

La hipoglicemia causada por secreción inapropiada de insulina en el adulto tiene pocas etiologías conocidas, siendo la más frecuente el insulinoma, en cambio una de las menos frecuentes es la nesidioblastosis, que consiste en una hipertrofia e hiperfunción de las células beta pancreáticas. Se cree que su causa reside en una o más mutaciones genéticas. La primera vez que se usó este término fue por Laidlaw en 1938 para describir la neoformación de islotes a partir de epitelio ductal de páncreas1-2. Esta enfermedad inicialmente se consideraba exclusiva del recién nacido hasta el año 1975 cuando se publicó el primer caso de un adulto portador de esta condición1. Un número de anomalías genéticas yace tras la enfermedad. Las más importantes son mutaciones en dos genes adyacentes en el cromosoma 11, SURq y Kir6.2, que codifican proteínas que comprenden el canal de potasio ATP-sensible en la membrana celular de la célula beta pancreática1

La mayoría de los pacientes con nesidioblastosis no presentan anormalidades en ningún tipo de estudio imagenológico, lo que dificulta mucho su diagnóstico preoperatorio. Se han descrito histológicamente un tipo focal y otro difuso, que puede ser identificadas previo al tratamiento con estimulación arterial y posterior muestreo venoso en donde se observaría una respuesta anormal de insulina en alguna región pancreática en la cual posiblemente exista tejido compatible con nesidioblastosis1,2.

Presentaremos el caso de una paciente con diagnóstico preoperatorio de masa pancreática compatible con insulinoma que resultó ser nesidioblastosis difusa.

Presentación del Caso

Mujer de 41 años de edad multípara de 4, sin antecedentes de diabetes gestacional ni historia familiar de diabetes mellitus. Se le realizó funduplicatura de Nissen en 2013 por reflujo gastroesofágico patológico. Fue derivada durante sus controles postoperatorios, 4 meses después de su cirugía a endocrinólogo por cuadro de baja de peso de 14 kilógramos en 10 meses, hipoglicemias a repetición, visión borrosa, cefalea holocraneana y sudoración. Exámenes bioquímicos incluyeron hemograma, función renal, hepática, cortisol AM, hormonas tiroideas que resultaron dentro de parámetros normales.

La paciente fue sometida a un test de ayuno prolongado que resultó positivo para hipoglicemia con niveles de hasta 48 mg/dL a las 6 h con niveles de insulina de 1,9 uUI/mL (valor normal < 3 uUI/mL). Se solicitó tomografía axial computarizada de abdomen con contraste que resultó normal,

Se le realizó endosonografía para complementar estudio, la cual mostró una lesión de 11 x 9,4 mm en la cabeza del páncreas (Figura 1). Se indicó Octreoscan para completar estudio, en donde se identificó lesión focal en cabeza pancreática con presencia de receptores de somatostatina, compatible con insulinoma (Figura 2).

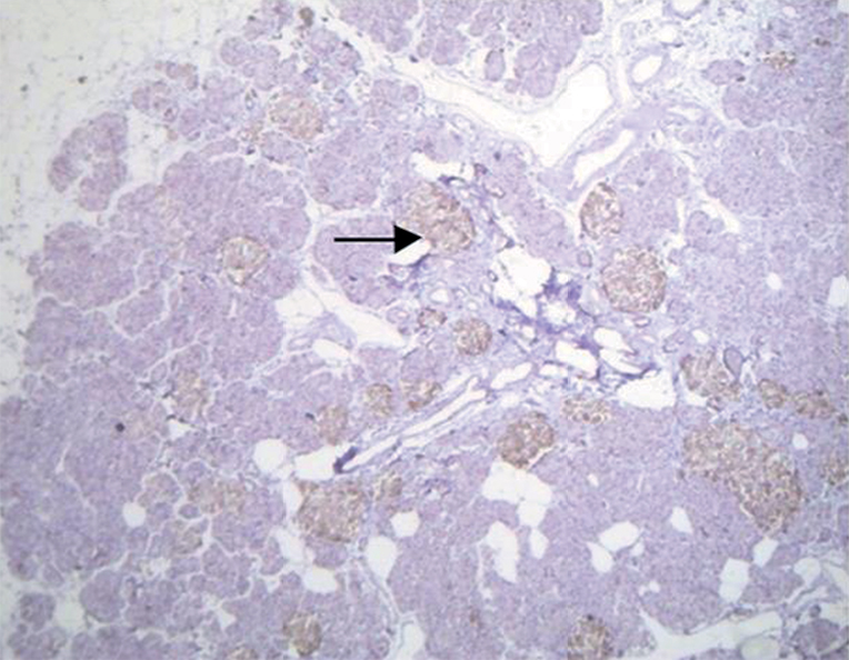
Se le realizó cirugía de Whipple extirpándose masas de la cabeza de páncreas que fue informada como tejido pancreático endocrino aumentado levemente de tamaño y número, con células de citoplasma amplio y núcleos levemente irregulares, células neuroendocrinas aisladas y en grupos, entremezclándose con los acinos y en la periferia de los conductos formando unidades ductolobulillares, compatible con nesidioblastosis difusa (Figura 3).

Posterior a la cirugía la paciente continuó con episodios de hipoglicemia, pero disminuyó significativamente la frecuencia e intensidad. Se realizó nuevo test de ayuno prolongado de control que resultó negativo y un nuevo Octreoscan sin evidencia de sobreexpresión de receptores de somatostatina que sugieran recidiva de tumor neuroendocrino.

Actualmente la paciente permanece en controles con nutricionista y endocrinólogo, con suplementación alimentaria. Se debe alimentar cada 2 h para evitar presentar hipoglicemia. En controles mantiene normoglicemias.

Figura 1. Endosonografía de páncreas que muestra imagen ovalada e hipodensa de lesión de 11 x 9,4 mm en cabeza de páncreas
Figura 3. Biopsia pancreática con células aumentadas de citoplasma amplio y núcleos levemente irregulares, células neuroendocrinas aisladas y en grupos, entremezclándose con los acinos y en la periferia de los conductos formando unidades ductolobulillares
Figura 2. Octreoscan foco de captación en cabeza de páncreas, positivo para receptores de somatostatina.

Discusión

La nesidioblastosis es una rara causa de hipoglicemia hiperinsulínica en el adulto, siendo alrededor de 0,5 a 7% de todos los casos de hipoglicemia hiperinsulínica persistente. En el año 2005 se describieron criterios diagnósticos, los cuatro criterios mayores son: 1) exclusión de insulinoma (macroscópica, microscópica y por examen de inmunohistoquímica); 2) múltiples células beta pancreáticas con núcleos hipercromáticas aumentadas de tamaño y con citoplasma abundante y claro; 3) islotes con distribución espacial normal de los diferentes tipos celulares; 4) sin actividad proliferativa de las células endocrinas. Todos los criterios deben cumplirse para certificar el diagnóstico. Además, desde 1989, cuando se clasificó en focal y difusa dependiendo del patrón de distribución de los complejos ductulo insulares, estos mismos se han vuelto una característica esencial para el diagnóstico de nesidioblastosis en algunos reportes de casos1,2.

Otra herramienta diagnóstica útil es la estimulación arterial y posterior muestreo venoso, en donde se utiliza gluconato de calcio inyectado en la arteria esplénica para luego tomar una muestra venosa de sangre y medir la respuesta de las células endocrinas, más aun de identificar su ubicación (si existe focalidad o no de la enfermedad)2.

En el caso presentado esta opción no se consideró, ya que la endosonografía y el Octreoscan sugirieron la presencia de una masa en la cabeza del páncreas por lo que se indicó resolución quirúrgica.

Luego del diagnóstico el 90-95% de los pacientes son tratados con pancreatectomía mientras que otros con pequeñas resecciones distales. Según algunos estudios, el 40% de los pacientes luego de una pancreatectomía casi total desarrollaron diabetes y una pancreatectomía parcial del 60 al 80% del páncreas resultó curativa en la mitad de los pacientes, sin necesidad de medicación adicional6.

En nuestro reporte, la paciente presentó islotes aumentados de tamaño y número, con núcleos irregulares y células neuroendocrinas formando unidades ductolobulillares, sin evidencia de neoplasia, lo que se condice con los criterios diagnósticos. Sin embargo, en el páncreas se encontró una masa en la cabeza, lo que no es característico de esta patología según la literatura.

Para tratar a nuestra paciente se decidió realizar cirugía de Whipple, en la cual el cirujano identificó la masa pancreática y posteriormente removió la cabeza del páncreas, lo que tuvo un efecto considerable en la sintomatología de la paciente, pero no totalmente curativo por la etiología difusa del cuadro.

En conclusión, es imposible diferenciar clínicamente la nesidioblastosis difusa en adulto de un insulinoma, por lo que su sospecha debe ser considerada en todo paciente adulto con hipoglicemias hiperinsulínicas sostenidas con estudio imagenológico negativo para masa pancreática el diagnóstico definitivo se obtendrá mediante estudio histopatológico, siempre excluyendo el diagnóstico de insulinoma y el tratamiento será quirúrgico, pero la extensión de la resección continua siendo tema de controversia.

Referencias bibliográficas

  1. Raffel A, Krausch M, Anlauf M, Wieben D, Braunstein S, Klöppel G, et al. 2007. Diffuse nesidioblastosis as a cause of hyperinsulinemic hypoglycemia in adults: a diagnostic and therapeutic challenge. Surgery 141 (2): 179-184.
  2. Toyomasu Y, Fukuchi M, Yoshida T, Tajima K, Osawa H, Motegi M, et al. 2009. Treatment of hyperinsulinemic hypoglycemia due to diffuse nesidioblastosis in adults: a case report. Am Surg 75 (4): 331-334.
  3. Anlauf M, Wieben D, Perren A, Sipos B, Komminoth P, Raffel A, et al. 2005. Persistent hyperinsulinemic hypoglycemia in 15 adults with diffuse nesidioblastosis: diagnostic criteria, incidence, and characterization of beta-cell changes. Am J Surg Pathol 29 (4): 524-533.
  4. Walmsley L, Matheson N, Ewen S, Himsworth R, Bevan J. 1995. Nesidioblastosis in an elderly patient. Diabet Med 12 (6): 542-545.
  5. Carlson T, Eckhauser M, DeBaz B, Khiyami A, Park C. 1987. Nesidioblastosis in an adult: an illustrative case and collective review. Am J Gastroenterol 82 (6): 566-571.
  6. Witteles R, Straus F, Sugg S, Koka M, Costa E, Kaplan E. 2001. Adult-onset nesidioblastosis causing hypoglycemia. Arch Surg 136: 656-663.