1 Sección Endocrinología, Departamento de Medicina Interna de la Facultad de Medicina, Universidad de Concepción. Concepción, Chile.
2. Jefe Unidad Anatomía Patológica Hospital Las Higueras. Concepción, Chile.
3. Departamento de Anatomía Patológica, Facultad de Medicina, Pontifica Universidad Católica de Chile. Concepción, Chile.
*Correspondencia: Patricio Salman Mardones psalman@udec.cl
Profesor asociado de la Facultad de Medicina de la Universidad de Concepción. Departamento de Medicina Interna, Facultad de Medicina
Chacabuco con Janequeo s/n, 4to piso. Barrio Universitario. Concepción.
Teléfono: (41) 2204921
Sin financiamiento. Sin conflicto de interés.
Recibido: 25-05-2020
Aceptado: 04-07-2020
Resumen: Es bien conocido que ha existido en las últimas décadas un incremento
en los casos de cáncer diferenciado de tiroides, especialmente los microcarcinomas. Diversos factores han contribuido a pesquisar pequeños cánceres como el aumento de la disponibilidad de exámenes imagenológicos. Estos pequeños cánceres tiroideos pueden tener un comportamiento no agresivo y no producir letalidad; esto es lo que se conoce como sobrediagnóstico. Esto último tiene implicancias tanto médicas como económicas por terapias agresivas. Así, desde el año 2015, un grupo de expertos cambia la nomenclatura en anatomía patológica del carcinoma papilar tiroideo variante folicular encapsulado (NIEFVPTC de sus siglas en inglés) por Neoplasia folicular tiroidea no invasiva con características nucleares de tipo papilar (NIFTP de sus siglas en inglés). Este cambio se basó en un estudio de Nikiforov donde los NIEFVPTC no tenían efectos adversos ni mortalidad en su seguimiento. Así, la intención inicial del cambio de nomenclatura es eliminar la palabra cáncer y evitar los sobretratamientos innecesarios. Presentamos un caso clínico de una paciente que se sometió a cirugía por un nódulo tiroideo clasificado Bethesda III donde la biopsia definitiva posterior a cirugía evidenció que se trataba de un NIFTP. A raíz de este caso analizamos la literatura hasta la fecha de esta nueva entidad y hacemos un repaso histórico de los carcinomas papilares tiroideos variante folicular. Además, desarrollamos nuevas interrogantes que se plantean desde este nuevo diagnóstico anatomopatológico, de cómo sospecharlo previo a una cirugía, cuál es
la cirugía de elección, y cómo debiera ser el seguimiento una vez diagnosticado.
Palabras clave: Carcinoma papilar tiroideo; Microcarcinoma; NIEFVPTC; NIFTP.
Abstract: It is well known that there has been an increase in cases of differentiated thyroid cancer in recent decades, especially microcarcinomas. Several factors have contributed to diagnose small cancers such as the increased availability of imaging tests. These small thyroid cancers can have a non-aggressive behavior and not cause lethality, this is what is known as overdiagnosis. The latter has medical as well as economic implications for aggressive therapies. Thus, since 2015, a group of experts has changed the nomenclature in pathological anatomy of encapsulated variant papillary thyroid carcinoma (NIEFVPTC) for non-invasive thyroid follicular neoplasia with papillary nuclear characteristics (NIFTP). This change was based on a Nikiforov study where the NIEFVPTC had no adverse effects or mortality in their follow-up; thus, the initial intention of the nomenclature change is to eliminate the word cancer and avoid unnecessary over-treatments. We present a clinical case of a patient who underwent surgery for a thyroid nodule classified Bethesda III where the definitive biopsy after surgery showed that it was a NIFTP. Following this case, we analyze the literature to date of this new entity and make a historical review of the follicular variant papillary thyroid carcinomas. In addition, we develop new questions that arise from this new pathological diagnosis, how to suspect it prior to surgery, what is the surgery of choice, and what should the follow-up once diagnosed.
Keywords: Microcarcinoma; NIEFVPTC; NIFTP; Papillary thyroid carcinoma.
Existe evidencia de un aumento de pesquisa de carcinomas papilares diferenciados. Muchos de ellos, son microcarcinomas que pueden tener un comportamiento no agresivo y no producir letalidad; esto es lo que se conoce como sobrediagnóstico. El 2015 se cambió la nomenclatura del NIEFVPTC por NIFTP para eliminar la palabra cáncer y evitar sobretratamientos innecesarios. Presentamos el caso clínico de una paciente con este último diagnóstico y desarrollamos los desafíos diagnósticos y terapéuticos de esta nueva entidad.
Paciente género femenino, 36 años, enfermera. Consulta el año 2018 por aumento volumen cervical indoloro, lateralizado a izquierda, de un mes de evolución. Sin antecedentes personales mórbidos previos, sin exposición a radioterapia externa previa. Hermana con hipotiroidismo primario. Sin uso de medicamentos. Al examen físico destacaba nódulo tiroideo palpable, móvil, no doloroso, no adherido a planos profundos, sin adenopatías palpables. Resto del examen físico normal. Se realizó ecografía tiroidea que evidenció “un nódulo tiroideo izquierdo con transformación quística excéntrica la cual posee otra imagen nodular en su interior parcialmente vascularizada de 20x12x19 mm” (Figura 1). Bioquímica con TSH 0,33 (VN 0,3-5,0), T4 libre 0,92 (VN 0,7-2,0), anticuerpo AntiTPO < 60, anticuerpo antitiroglobulina < 30. Se realizó biopsia PAF con resultado “Hallazgos corresponden a atipías de significado indeterminado (Bethesda III)”. Se discutió alternativas a seguir con paciente, y debido a una alta aprehensión personal quiso someterse de una tiroidectomía total. Un primer informe de la biopsia definitiva mostró “lesión quística de pared fibrosa de 2x1,7 cm y con nódulo central de 1,3 cm correspondiente a Tumor bien diferenciado de potencial maligno incierto”. Una segunda revisión de la biopsia la reclasificó en “Neoplasia folicular tiroidea no invasiva con características nucleares de tipo papilar (NIFTP)” (Figura 2). La paciente evoluciona en forma favorable posterior a cirugía, con sustitución de levotiroxina, y no recibió yodo radioactivo.
Existe un importante incremento en las últimas décadas de cáncer de tiroides, especialmente de microcarcinomas. Son diversos factores los que han hecho pesquisar pequeños cánceres asintomáticos, muchos de ellos no letales, lo que se conoce como sobrediagnóstico. En global se estima un sobrediagnóstico de 470 mil mujeres y 90 mil hombres en 2 décadas en 12 países estudiados. Algunas consecuencias del sobretratamiento en cáncer de tiroides son altos costos económicos, stress psicológico/Qol, seguimientos prolongados y terapias agresivas (tiroidectomías totales, hipoparatiroidismos post quirúrgicos, lesión de nervio recurrente, efectos secundarios del yodo radioactivo). Varios países tienen documentado el aumento del diagnóstico de cáncer de tiroides por mayor screening, siendo el caso de Korea del Sur el de mayor demostración de ello, pero la literatura muestra que paralelo a esta mayor pesquisa, la mortalidad se mantiene estable1,2,3.

Figura 1: Ecografía tiroidea paciente. Nódulo tiroideo izquierdo con transformación
quística excéntrica la cual posee otra imagen nodular, de 20x12x19 mm.

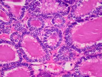
Figura 2: Biopsia paciente. Tinción Hematoxilina Eosina. Aumento 400 X. Descripción: Se observa una lesión de patrón folicular con núcleos con características de tipo papilar.
Tabla 1. Clasificación de la WHO 2017 de tumores tiroideos foliculares..

Historia del Cáncer Papilar Tiroideo Variante Folicular (FVPTC)
Hacia el año 2000, el FVPTC fue reconocido como una entidad “problemática” dada la falta de criterios claros para las características nucleares requeridas para hacer el diagnóstico, y además, una escasa reproducibilidad entre patólogos para una misma muestra (10-53%). The Chernobyl Pathologists Group propuso una clasificación para tumores encapsulados con características nucleares cuestionables: “tumor bien diferenciado de potencial maligno incierto”4.
En las décadas anteriores la manera de diagnosticar cáncer papilar de tiroides (PTC) y cáncer folicular de tiroides (FTC) cambió de un patrón arquitectutal a uno de características nucleares. Así, cada vez cobró más importancia los cambios nucleares para el diagnóstico de cáncer papilar tiroideo5.
El FVPTC fue descrito inicialmente por Lindsay en 1960 como un tumor de crecimiento folicular, con características nucleares similares a PTC y diseminación linfática similar a PTC. En las siguientes décadas, el grado de atipía nuclear para hacer diagnóstico de FVPTC se fue volviendo menos estricto, apareciendo tumores con el patrón nuclear de FVPTC pero sin invasión o infiltración. Así, el número de FVPTC se incrementó dramáticamente (en algunos estudios pasó de un 10 a un 25% de todos los PTC)5.
En el año 2006 Liu et al publicó un estudio que categorizó al FVPTC en IFVPTC (infiltrativo) y en EFVPTC (encapsulado), y su vez el EFVPTC fue subclasificado en EFVPTC invasivo y en EFVPTC no invasivo4,5.
¿Cómo surge y qué significa NIFTP?
En el año 2015, un grupo de expertos en tiroides (24 patólogos, 2 endocrinólogos, 1 cirujano, 1 bioestadístico y 1 representante de los pacientes y 1 psiquiatra) se reunieron para revisar la nomenclatura del EFVPTC. Así, en el año 2016 publicaron su artículo donde evaluaron 109 pacientes en forma retrospectiva con EFVPTC que fueron tratados con cirugía sin tratamiento con yodo radioactivo y con seguimiento promedio de 13 años. En este trabajo se establecieron criterios diagnósticos para EFVPTC (criterios mayores, menores y de exclusión del punto de vista histológico) y además evaluaron en 2 grupos los EFVPTC (EFVPTC invasivo y en EFVPTC no invasivo) su comportamiento y pronóstico. En este último punto se demostró que durante el seguimiento no hubo efectos adversos ni mortalidad en el grupo EFVPTC no invasivo, a diferencia del grupo EFVPTC invasivo. Por tanto, sugirieron el cambio de nomenclatura de EFVPTC no invasivo a NIFTP y además crearon los primeros criterios histológicos para NIFTP y además de un score nuclear para tipo papilar (score de 0 a 3)6. Al año siguiente, en el 2017 la WHO incorpora al NIFTP dentro de la clasificación de tumores tiroideos7 (Tabla 1). Finalmente, lo que se busca con la nueva clasificación es que si un EFVPTC invade vasos o infiltra la cápsula se denomine EFVPTC, pero si no lo hace cambie a NIFTP, eliminando la palabra cáncer del diagnóstico histológico8.
Implicancias del NIFTP
El cambio de NIEFVPTC por NIFTP es eliminar la palabra cáncer y disminuir los sobretratamientos innecesarios, por tratamientos más proporcionales. Así, distintos autores han evaluado cómo cambia el riesgo de cáncer de las biopsias de nódulos tiroideos con el sistema Bethesda en las categorías indeterminadas y malignas. Una revisión evaluó que en el caso de la “atipía de significado indeterminado/lesión folicular de significado indeterminado” (AUS/FLUS) su riesgo de cáncer baja entre un 4,9-45%. En el caso de “sospecha de lesión folicular/lesión folicular” (SFN/FN) baja el riesgo de cáncer entre un 10-36%. Incluso la categoría “sospecha malignidad” (SM) baja su riesgo de cáncer entre un 13,5-48%9.
Uno de los aspectos controversiales con NIFTP es si es posible diseminación con este diagnóstico. Una revisión vio que esta posibilidad se podía dar entre un 0% a 8%, principalmente compromiso nodal metastásico10. No obstante, estos compromisos han sido cuestionados dado que esos estudios no todos evaluaron en forma completa el tumor (por tanto, no pudiendo descartar en alguna parte algún tipo de invasión), uno de los estudios mostró un caso que tenía margen de resección positivo, otro caso ocurrió con la mutación BRAF V600E y en otros casos habían metástasis nodales en un cáncer concomitante a un NIFTP en la misma muestra. Por tanto, algunos autores sugieren que las metástasis linfonodales o a distancia son incompatibles con el diagnóstico de NIFTP4.
Dado lo anterior, el NIFTP Working Group propone una modificación a los criterios originales de Nikiforov, fundamentalmente que no debe haber papilas verdaderas y reemplazar “true papillae <1%” por “no true papillae”. Con esto se busca criterios más estrictos en términos que no se clasifiquen tumores como NIFTP con un potencial de agresividad mayor.
Finalmente, si se excluye como carcinoma a los NIFTP, podría aumentar la tasa de parámetros histológicos de mayor riesgo en los PTC restantes4. Así, un estudio evidenció que después de eliminar los NIFTP de los PTC hay una disminución del grupo de bajo riesgo según ATA11. Por tanto, los restantes FVPTC podrían en conjunto no tener un comportamiento necesariamente indolente o de baja agresividad dado que si se excluyen los NIFTP disminuye en este grupo un número de tumores que son en sí mismos no agresivos y en teoría no cáncer como son los NIFTP. Esto deberá aclararse con nuevos estudios, ahora prospectivos.
Diagnóstico de NIFTP ¿Puede realizarse previo a la cirugía?
El NIFTP es un diagnóstico quirúrgico, por tanto, el desafío es intentar predecirlo previo a la cirugía. Las herramientas para el diagnóstico preoperatorio son la ecografía preoperatoria, PAF y estudios moleculares. Si bien, ninguna herramienta por sí sola o en conjunto puede asegurar el diagnóstico de NIFTP, el estudio integrado pudiera entregar una conducta quirúrgica razonable10.
a) Ecografía tiroidea: en general, los NIFTP son nódulos de sospecha ecográfica de malignidad baja-intermedia, hipo o isoecogénicos, bordes bien circunscritos y ausencia de calcificaciones. Algunos NIFTP pueden tener halo hipoecogénico completo10.
b) Citología (PAF): Según la 4ta edición de la clasificación de la WHO no se puede establecer una distinción completa entre NIFTP y PTC. No obstante, la mayoría de los NIFTP caen en categorías de riesgo Bethesda intermedio. AUS/FLUS (Bethesda III) corresponde a un 15% de los NIFTP, FN/SFN (Bethesda IV) un 56% y SUS (Bethesda V) un 27%7. Por otro lado, no se puede hacer una diferencia categórica entre NIFTP e IEFVPTC dado la similitud nuclear. No obstante, un estudio analizó una serie de casos de NIFTP y IEFVPTC encontrando que los núcleos de los NIFTP fueron más pequeños y menos irregulares que IEFVPTC12. Un score nuclear 3 (rasgos nucleares pronunciados de PTC) es muy poco probable de ser un NIFTP13.
c) Marcadores moleculares: de poder contar con ellos, en particular en biopsias de riesgo intermedio (Bethesda III/IV) pudieran ayudar a una aproximación. Esto es porque los NIFTP tienen genes asociados principalmente a RAS, y otros como PAX8-PPARg, TERTp y BRAF K601E; mientras que el PTC clásico está asociado a BRAFV600E9,5.
Conducta frente el NIFTP
Tal como se mencionó, lo ideal y el desafío es intentar predecir el NIFTP antes de la cirugía. Hasta ahora no hay evidencia sobre el manejo de esta neoplasia dado que la literatura en su mayoría es retrospectiva y faltan estudios prospectivos. No obstante, se pueden sacar algunas recomendaciones de la literatura existente.
Respecto al tipo de cirugía, la lobectomía o hemitiroidectomía es razonable, evitando cirugías más invasivas con mayor riesgo quirúrgico.
Por otro lado, no estaría indicada la terapia con yodo radioactivo posterior.
Si el NIFTP mide más de 4 cm la conducta debiera ser la misma, dado que hay reportes con ese tamaño y no cambia la evolución.
Hay pocas recomendaciones oficiales en la literatura, la ATA el 2017 propone que “el diagnóstico de NIFTP es una neoplasia de excelente pronóstico, pero que no hay claridad de cómo el paciente debiera ser monitorizado y recomienda que debiera ser como de un cáncer de bajo riesgo, hasta no tener estudios prospectivos”15. La AACE/ACE el 2017 propone “que se debe explicar al paciente que el diagnóstico de NIFTP no significa “tumor benigno” sino una “neoplasia de bajo riesgo” y que una hemitiroidectomía es adecuada como cirugía, y en cuanto al seguimiento dado la falta de datos no propone recomendaciones basadas en evidencia y cada caso ser evaluado en forma individual”8. Recientemente, Ferris et al propone que el paciente todavía debiera seguirse anualmente con medición de marcadores tumorales (tiroglobulina y anticuerpos antitiroglobulina) y ocasionalmente a ecografía cervical para detección de recurrencia tumoral15. Esta última postura, va en cierta manera en contra del sentido del cambio de nomenclatura eliminando la palabra cáncer y evitar tanto tratamientos agresivos como seguimientos intensivos, tal como lo expresan algunos autores16.
En resumen, presentamos el caso de una paciente con un NIFTP que plantea a la fecha varios desafíos diagnósticos y de manejo, y que se necesitan estudios prospectivos para aclarar la significancia de esta nueva neoplasia.
Referencias